消除胫骨夹板的第一步是了解跑步或其他高强度运动时小腿刺痛的原因。这样你就可以避免这些疼痛。有一些简单的家庭治疗可以帮助你重新站起来。如果你不确定你正在经历的是什么胫骨夹板,你应该去看医生,因为你感觉到的疼...
消除胫骨夹板的第一步是了解跑步或其他高强度运动时小腿刺痛的原因。这样你就可以避免这些疼痛。有一些简单的家庭治疗可以帮助你重新站起来。如果你不确定你正在经历的是什么胫骨夹板,你应该去看医生,因为你感觉到的疼痛可能是由其他肌肉、骨骼或结缔组织损伤引起的。

鞋垫可以帮助减轻胫骨夹板带来的疼痛。大多数跑步的人都会时不时地使用胫骨夹板。在你开始锻炼之前,确保你的肌肉得到适当的热身和拉伸。如果你的胫骨再次出现夹板,你可能需要练习增加小腿力量和柔韧性的运动。消除胫骨夹板的最佳方法是首先避免胫骨夹板。

一双高质量的鞋可以通过锚定脚来防止胫骨夹板,同时对胫骨施加的应力较小。一双好的跑步或交叉运动鞋训练鞋是你锻炼计划的一个重要组成部分。如果你的鞋很旧或者不是为高强度运动设计的,它们会给你带来疼痛。就像你车上的轮胎一样,跑鞋在缓冲层和胎面失效前的英里数或公里数是有限的。你也可能会发现你需要凝胶鞋垫或矫形衬垫去掉胫骨夹板。如果你的脚是平的,这一点尤其正确。

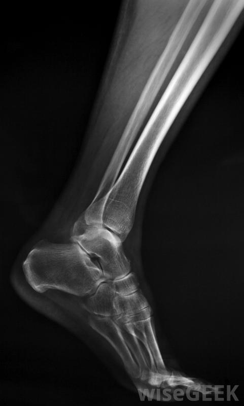
X光片通常不会显示胫骨应力性骨折。当你第一次开始锻炼或改变锻炼计划时,你可能会遇到胫骨夹板。你可以通过检查你的养生习惯来消除胫骨夹板,以确保它适合你这些疼痛通常发生在坚硬或倾斜的跑步或高强度训练中。你可以选择一个较软的表面,如跑道或跑步机来缓解疼痛。在重新进行引起你疼痛的活动之前,花些时间让你的小腿恢复正常。

在跑步前做伸展运动可以降低受伤的风险。在休息期间,你仍然可以锻炼,但是你应该参加低强度的活动,以鼓励你的小腿愈合。受伤后的头几天里,每隔几个小时给受影响的部位冰敷20到30分钟。一旦时间过去了,换成以同样的时间间隔加热。疼痛应该在一周内消失。当疼痛减轻后,你可以恢复正常的作息方式,但是,要小心进入更具挑战性的训练中。

正确的步幅对于防止跑步时胫骨夹板很重要。一些非处方药可以帮助你摆脱胫骨夹板。选择任何非甾体类止痛药,如阿司匹林、布洛芬、,或者你家里可能有的对乙酰氨基酚。一些外用的药膏和药膏可以帮助减轻胫骨夹板的疼痛,并促进你的康复。小心不要用药物来掩盖胫骨损伤的疼痛。在伤口愈合的时候,你应该放松些。

跑鞋,这对胫骨夹板有帮助。你感觉到的疼痛可能是由胫骨夹板以外的其他情况引起的。如果疼痛非常剧烈或突然发作,而你的锻炼方案没有改变,那么你的胫骨可能会发生应力性骨折如果你发现有瘀伤、肿胀或不明原因的肿块,或者在家庭治疗后两周内症状仍未消失,你应该预约看医生。

非甾体类止痛药可以缓解胫骨裂开的症状。

在跑步机上跑步可以减轻胫骨夹板的疼痛。