上腔静脉是将用过的血液从上半身返回心脏的重要静脉。如果由于癌症肿瘤、感染、血栓或其他异常情况,静脉阻塞或受限,其结果称为上腔静脉综合征。阻塞可引起头晕、头痛、面部和喉咙严重肿胀等症状。上腔静脉综合征的治疗...
上腔静脉是将用过的血液从上半身返回心脏的重要静脉。如果由于癌症肿瘤、感染、血栓或其他异常情况,静脉阻塞或受限,其结果称为上腔静脉综合征。阻塞可引起头晕、头痛、面部和喉咙严重肿胀等症状。上腔静脉综合征的治疗通常集中在阻塞的原因上,可能需要化疗、类固醇注射,抗生素或手术。当这种情况被早期发现和治疗时,大多数患者都会完全康复。

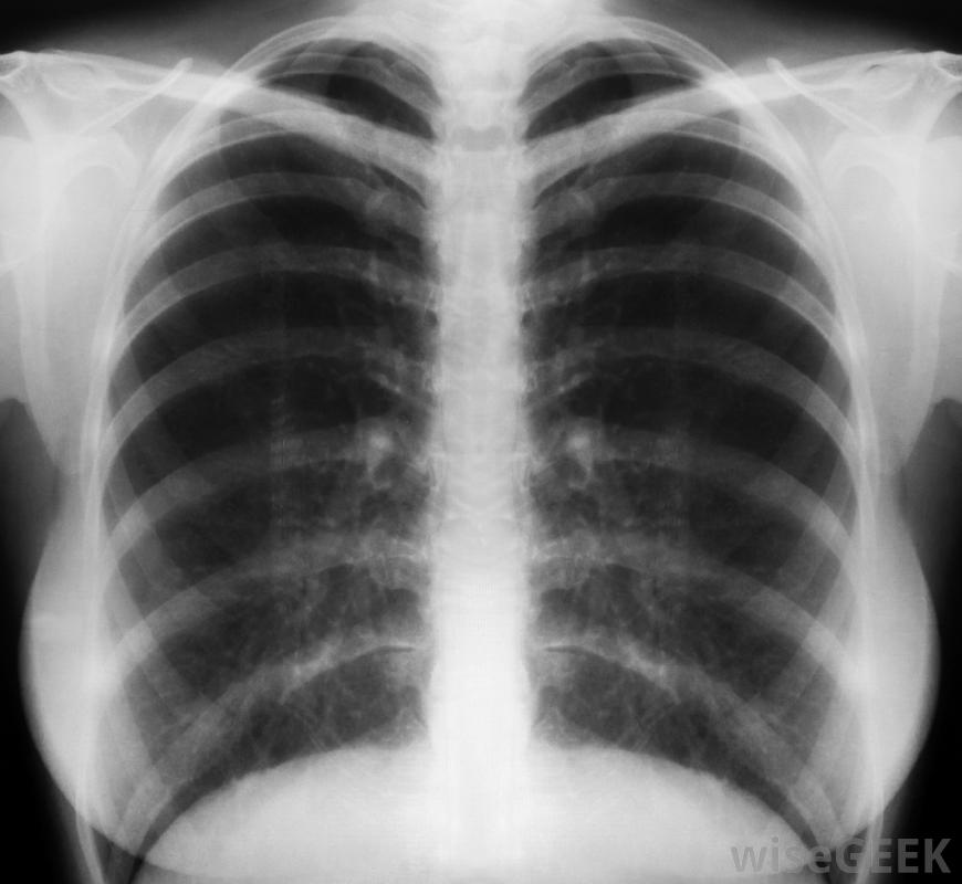
胸部x光片可以帮助确定上腔静脉综合征的严重程度。肺部、胸部的恶性肿瘤,胸部的甲状腺和淋巴结是上腔静脉综合征的主要原因。静脉没有得到很好的保护,很容易被不断增长的肿瘤压迫。血凝块、甲状腺肿和心脏动脉瘤也会限制正常的血液流入心脏。此外,未经治疗的细菌和病毒感染,如肺结核梅毒有时会导致上腔静脉炎症和阻塞。

上腔静脉将上半身的血液输送回心脏,随着肿瘤或其他疾病的发展,疾病会逐渐发展,虽然急性上腔静脉综合征的病例可能是由血液凝固引起的。在疾病的早期,病人可能会出现头晕、头晕、经常头痛和轻微的视力问题。随着血液流动进一步受限,面颊、鼻子、手和手臂会出现红肿。最终,颈部和面部肿胀并开始变蓝喉咙肿胀会导致严重的呼吸问题,如果不立即缓解,可能导致昏迷和脑损伤。怀疑进行性上腔静脉综合征的医生可以对患者的喉咙和面部进行体检,并检查是否有血压异常的迹象。胸部x光片和计算机轴位断层扫描(CAT)可以显示梗阻的原因和严重程度。医生通常会给病人服用类固醇或利尿剂来缓解立即出现的肿胀症状,然后确定治疗的最佳方案。化疗或放疗通常用于消除胸部或肺部的癌性肿瘤。抗凝药物可以缓解血栓,细菌感染可通过口服或静脉注射抗生素来治疗。由于心脏和周围结构的脆弱性,很少进行手术。非癌症患者的预后非常好,大多数人在不到一个月的时间内就可以从症状中恢复过来。癌症患者可能需要接受持续的治疗和监测以确保癌症不会扩散到身体的其他部位。