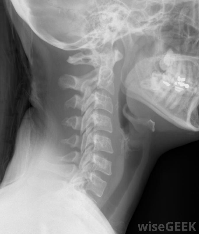
当颈椎或颈部持续疼痛无法用其他方法成功治疗时,有时需要进行颈椎融合。这种手术将颈部的椎骨相互融合,限制运动,从而减轻或消除疼痛。有时,颈椎融合术是结束长期疼痛的最佳方法颈椎的慢性疼痛通常是由神经压迫引起的,在神...
当颈椎或颈部持续疼痛无法用其他方法成功治疗时,有时需要进行颈椎融合。这种手术将颈部的椎骨相互融合,限制运动,从而减轻或消除疼痛。有时,颈椎融合术是结束长期疼痛的最佳方法颈椎的慢性疼痛通常是由神经压迫引起的,在神经受压处融合椎体,可大大减少该区域的活动,也有助于为神经和神经根留出额外的空间,其结果是减轻受影响神经的压力,这样可以减轻甚至消除疼痛。

大多数人在颈椎融合术后的恢复过程中都会戴上颈领颈椎融合术也可以在颈部受伤后进行,以防止脊椎骨折对脊髓的损害,也可以帮助矫正脊柱错位或畸形,或治疗由类风湿性关节炎或其他慢性病在某些情况下,颈椎融合术是为了跟进椎间盘突出或椎管狭窄的治疗,由于年龄增长,自然变化会导致脊髓改变,压迫神经。

颈椎融合术可以作为椎间盘突出治疗的后续措施根据患者个人的需要,颈椎融合术有不同的方法,这种手术是在颈前切口进行的,称为颈椎前路融合术,也可以通过颈部后部进行,这种手术就是颈椎后路融合术手术本身包括切除椎骨之间的椎间盘或整个椎骨,然后在剩下的椎骨之间放置一块植骨块,它将生长到上下两块骨头中,有效地将它们融合在一起。其他的颈椎融合方法包括使用金属植入物或钢板或使用人工融合材料。骨移植通常取自患者,通常来自髋骨,但也可以使用尸体上的骨头颈椎融合术后,颈部活动有所减少,但这通常对患者的整体活动性影响不大。作为疼痛治疗,该手术在大多数情况下是成功的。术后有时会出现并发症,需要后续手术接受该手术的患者在康复期间通常必须住院一段时间,然后必须戴上短时间的颈领,以便在愈合过程中保持颈部不动。

脊椎。