肺结核是一种潜在的严重的肺部疾病,由一种传染性细菌引起。这种疾病在世界上许多地方很普遍,特别是在人口过多、卫生条件差、几乎得不到优质保健的地方。一旦一个人被感染,他或她可能几个月内都不会出现症状甚至数年。当...
肺结核是一种潜在的严重的肺部疾病,由一种传染性细菌引起。这种疾病在世界上许多地方很普遍,特别是在人口过多、卫生条件差、几乎得不到优质保健的地方。一旦一个人被感染,他或她可能几个月内都不会出现症状甚至数年。当疾病的迹象出现时,可能包括慢性湿咳、发烧,早期诊断和治疗对于防止严重的肺损伤和肝或脑的并发症是很重要的。

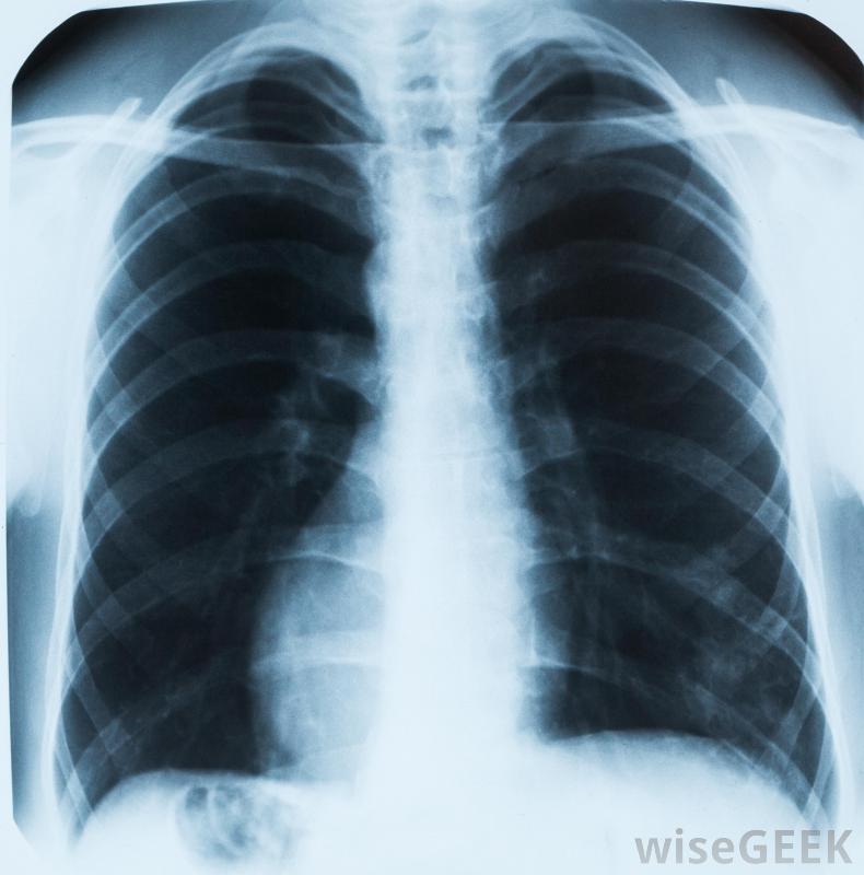
肺部的X光片可以帮助医生诊断肺结核几种不同的结核分枝杆菌菌株都能引起感染。当被感染者咳嗽或打喷嚏时,这种细菌就会通过空气传播,很容易被其他人吸入。在肺部,细菌附着在内层,可以长时间休眠。事实上,大多数人根本不会出现症状,因为他们的免疫系统很强,足以抵御病原体。很小的儿童,老年人,免疫系统减弱的人患活动性肺结核的风险最高。

肺结核的症状通常包括胸痛肺结核的第一个症状通常包括轻微的呼吸困难,偶尔咳嗽和喘息,以及胸痛。症状往往会在数周或数月内恶化,直到持续出现使人虚弱的问题。一个人可能开始咳血,发烧和发冷,而且一直感到疲劳。体重减轻,颈部淋巴结肿大,液体潴留也会发生。如果不治疗,细菌可以从肺部和淋巴结扩散到其他重要器官,引起非常严重的疾病。医生通常可以通过询问症状和对胸部进行诊断性成像扫描来诊断肺结核电脑断层扫描,肺部的斑块通常表现为发炎、疤痕和变色。也可以在实验室采集痰样并进行分析,以确认诊断。有时,可能需要收集肺组织样本以排除癌症大多数活动性肺结核可以通过一个疗程的抗生素治疗治愈。医生通常会开吡咯嗪酰胺,利福平,每天服用两到三种其他药物,至少持续六个月。患者在整个疗程中继续服用药物是很重要的,即使他们的症状很快好转,以确保细菌被完全根除。治疗期间和治疗后的频繁体检可以确认问题已得到解决

利福平是肺结核患者的处方药之一。