硬脑膜下血肿是一种血液在硬脑膜下的积聚,硬脑膜是大脑的外层,当连接大脑表面和硬脑膜之间的桥静脉开始渗漏或出血时,就会出现这种情况,慢性硬膜下血肿是指血液在21天前开始积聚,另一种最常见的硬膜下血肿是在72小时前开始...
硬脑膜下血肿是一种血液在硬脑膜下的积聚,硬脑膜是大脑的外层,当连接大脑表面和硬脑膜之间的桥静脉开始渗漏或出血时,就会出现这种情况,慢性硬膜下血肿是指血液在21天前开始积聚,另一种最常见的硬膜下血肿是在72小时前开始出血的急性硬膜下血肿

意识不清和记忆力减退是硬膜下血肿的可能征象受年龄、生活方式、近期创伤适应症和病史等因素的影响,患者的各种症状可能会有所不同。慢性硬膜下血肿的许多症状与其他情况下的症状非常相似。症状可能包括焦虑、抑郁、记忆力减退和意识混乱,经常模仿痴呆症的症状。癫痫发作和持续性头痛也很常见。

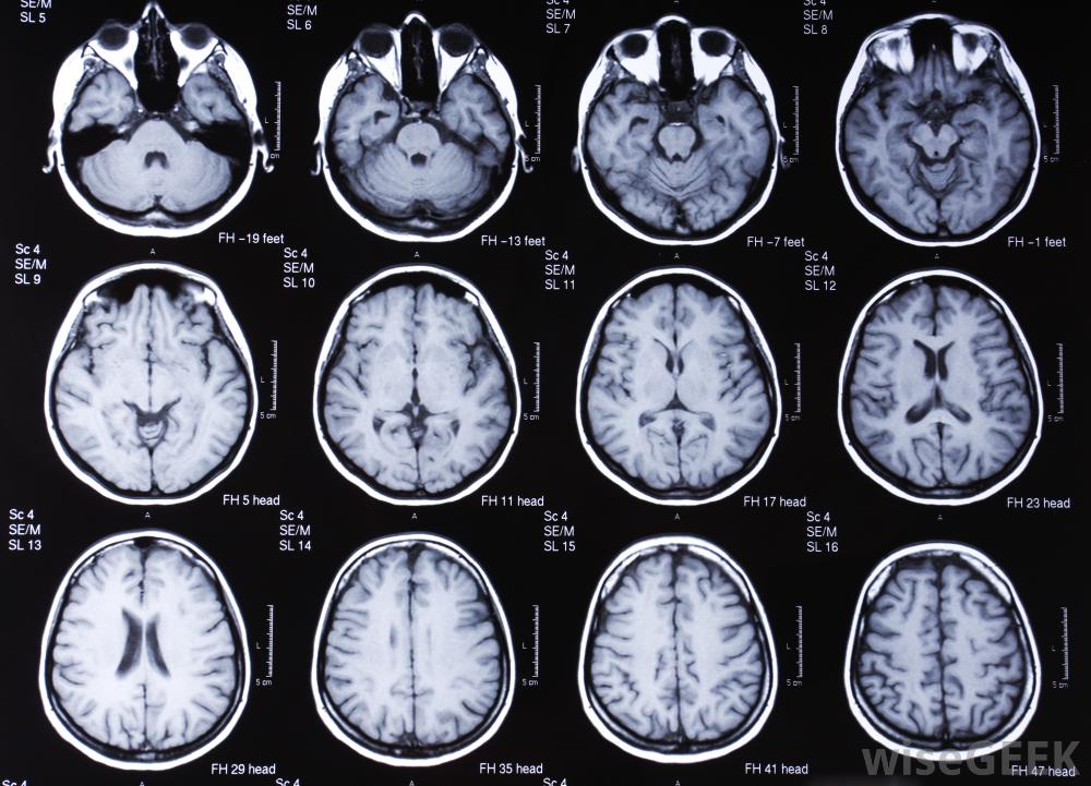
头部的MRI扫描可以帮助诊断慢性硬膜下血肿许多症状都会导致额外的并发症。例如,有这种情况的人可能会有吞咽困难,这可能会导致窒息和误吸四肢无力会导致行动不便,并增加跌倒和进一步受伤的风险。意识混乱和精神状态改变会导致判断能力差,增加受伤和决策失误的风险。慢性硬膜下血肿需要外科手术治疗,并且无法自行愈合,因为血液的采集无处可去。治疗这种情况的程序被称为开颅手术。这个过程包括在头骨上开一个小洞,排出积聚的血液。手术和未经治疗的情况都有永久性脑损伤的风险,但慢性硬脑膜下血肿未经治疗的风险要大得多。慢性硬膜下血肿通常是由头部外伤引起的,60岁以上的人更容易发生。作为自然衰老过程的一部分,大脑可能会萎缩或者萎缩,意味着大脑表面变小,硬脑膜和脑表面之间的间隙变大,然后桥静脉被拉紧,受到更大的力,即使是轻微的头部外伤,也会造成更大的渗漏和血肿形成的威胁服用抗凝血药物的人患慢性硬膜下血肿的风险增加,因为如果桥静脉开始渗漏,血液无法有效地凝结。在婴儿中,硬膜下血肿通常是由创伤或虐待引起的,如婴儿摇晃综合征。其他人发生慢性硬膜下血肿的高风险包括长期酗酒和滥用药物

慢性硬膜下血肿患者吞咽困难,可能导致窒息。