脑震荡有两种基本的治疗方法:家庭治疗和医疗治疗。在家里,你通常可以用冰敷治脑震荡,这可能有助于缓解肿胀和不适。你也可以使用非处方药(OTC)来止痛,多休息,多喝水。就医疗而言,医生可能会给你做检查,检查你受伤的程度。在大...
脑震荡有两种基本的治疗方法:家庭治疗和医疗治疗。在家里,你通常可以用冰敷治脑震荡,这可能有助于缓解肿胀和不适。你也可以使用非处方药(OTC)来止痛,多休息,多喝水。就医疗而言,医生可能会给你做检查,检查你受伤的程度。在大多数情况下,他会建议你在家里使用同样的治疗方法,例如休息和非处方止痛药。

如果运动员被怀疑有脑震荡,他们应该立即离开赛场。
休息通常是脑震荡最重要的治疗方法。脑震荡后,通常建议患者避免体力消耗。患有这种情况的人可能会认为脑震荡后继续进行常规的精神活动是可以的,但是通常情况并非如此。医生经常建议减少需要精神消耗的活动。例如,医生可能会建议患者暂时减少学业或工作负担。事实上,医生甚至可能建议患者减少看电视和玩电子游戏。

脑震荡治疗也可能包括使用止痛药。通常,脑震荡与头痛有关,使用止痛药可以帮助病人在康复过程中感觉更舒服。虽然许多不同的非处方药对其他类型的情况可能有用,但医生经常建议病人选择对乙酰氨基酚来治疗这种类型的头痛疼痛这是因为其他止痛药,如阿司匹林和布洛芬与出血增加有关,这可能是脑震荡后的问题。

头部受到打击后,它&&039;服用非处方止痛药和大量喝水是个好主意。
如果某人受伤部位有瘀伤,在脑震荡后使用冰块可以帮助减轻肿胀。大多数情况下,最好用毛巾或其他材料包住冰,而不是直接把冰敷在病人的皮肤上。个人可能会发现这种治疗方法在受伤后立即使用最有帮助,之后每隔两小时敷20分钟。通常,这种脑震荡治疗的好处最大在受伤后的第一天。
如果患者除了在家自理之外还寻求医疗治疗,医生可能会对他进行检查,并进行测试,以确定他的受伤程度。如果他有伤口或瘀伤,医生也可以对其进行治疗。在这些步骤之后,脑震荡的医疗治疗通常与自理治疗方法大致相同,包括休息和止痛。
脑震荡治疗通常包括监测患者行为和状况的变化。在许多情况下,这种监测可以在患者家中进行。但是,在某些情况下,患者的伤势已经足够严重,必须住院监护。

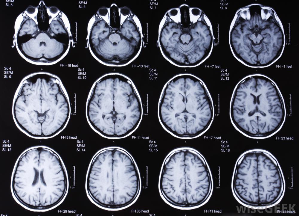
脑部核磁共振扫描可帮助确定脑震荡的严重程度。