跟骨骨折是一种后跟骨折。造成跟骨骨折的原因通常包括从高处坠落,例如攀岩者有时可能会遇到的情况,以及涉及机动车辆的事故。跟骨骨折的严重程度可能会有很大变化,小的情况下只需要固定,而更严重的骨折可能需要手术治疗。...
跟骨骨折是一种后跟骨折。造成跟骨骨折的原因通常包括从高处坠落,例如攀岩者有时可能会遇到的情况,以及涉及机动车辆的事故。跟骨骨折的严重程度可能会有很大变化,小的情况下只需要固定,而更严重的骨折可能需要手术治疗。跟骨骨折通常由骨科医生专门治疗与骨骼和关节有关的问题。

跟骨骨折可以用脚上的石膏来治疗,或脚跟骨,外表坚硬,内部较软,所以足跟是足部最常骨折的部位,骨折处可出现肿胀、疼痛、瘀伤和畸形,通常情况下,一个人将无法将任何重量放在受影响的脚上。如果骨头断了,但碎片仍在原位,这就意味着伤势不那么严重了。相关的疼痛可能更像是一种隐痛,治疗方法可能只涉及穿一个脚石膏,以防止脚跟及其与腿的关节移动。它可以这种骨折需要6个月的时间才能愈合。

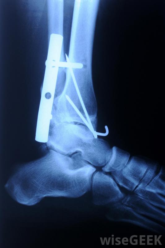
膜内骨化是骨骼愈合的过程。如果脚跟受伤更严重,跟骨骨折的各个部分相互移动,骨头的各个部分通常必须固定在一起。在某些情况下,一种被称为闭合复位的手术可以在全身麻醉下进行。在这里,脚被从外部操纵,将断开的骨头移回原位,这样就不需要把脚完全打开特殊的手术器械是通过脚部的小切口引入的,用来插入固定针和固定线。一种被称为荧光镜的X光片被用来向外科医生显示发生了什么。对于更复杂的跟骨骨折,可以使用所谓的切开复位术。这包括手术来打开在用金属钉和钢板将骨折固定在一起之前,先用脚把骨折暴露出来。这些更复杂的骨折包括影响脚跟和腿之间关节的骨折,如果跟骨骨折导致跟关节严重损伤,关节可能需要用特殊的胶水或螺丝钉固定在一起。

更复杂的跟骨骨折需要手术切开足部,暴露骨折,然后用销钉和钢板固定。