单腔骨囊肿俗称单纯骨囊肿。简单地说,这是一种骨内充满液体的病变。它通常在儿童的长骨中更常见,但也可能发生在其他类型的骨骼和成人中。根据囊肿的严重程度,它可能会引起症状或并发症。治疗通常包括囊肿的切除。 像股...
单腔骨囊肿俗称单纯骨囊肿。简单地说,这是一种骨内充满液体的病变。它通常在儿童的长骨中更常见,但也可能发生在其他类型的骨骼和成人中。根据囊肿的严重程度,它可能会引起症状或并发症。治疗通常包括囊肿的切除。

像股骨这样的长骨是骨囊肿常见的地方简单的骨囊肿发生于液体充满骨的空腔时。浆液性液体是空腔中最常见的液体类型,但在某些情况下也可以发现血液。这种囊肿通常被压缩的纤维组织包围

骨囊肿通常发生在长骨上,长骨是指长度超过其宽度的骨头简单骨囊肿最常见的骨骼类型。最典型的简单骨囊肿见于上臂骨(肱骨)和大腿骨(股骨)。此外,这种类型的囊肿倾向于在干骺端形成,这是骨头的一个部分,它的长轴与末端相连

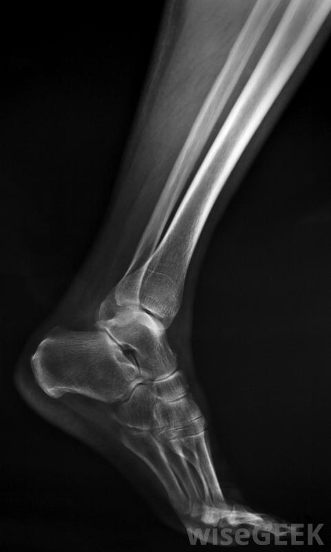
骨囊肿可通过x光等影像学检查发现。5至15岁的儿童最常受到此类囊肿的影响。然而,年龄较大的儿童和成人,也可能被诊断为单纯性骨囊肿。不过,这些人更容易在扁骨(包括骨盆和肋骨)中发生囊肿。在老年人的颌骨或跟骨也有可能形成单纯性骨囊肿单纯性骨囊肿的病因通常不得而知。然而,一些医生却有一些理论。一些医生认为这些囊肿可能是由生长板或血液循环问题引起的。还有一些证据表明,反复的创伤,如大量骨折,也可能使人有患单纯性骨囊肿的风险。通常,单纯的骨囊肿被认为是良性的。这意味着它通常不会影响身体中除了含有它的骨头之外的任何其他部位。然而,在某些情况下,它可能会变大。这可能会导致骨内压力增大并导致骨折,但这种情况并非每一例都会发生轻微的单纯性骨囊肿通常没有症状。但是,如果囊肿开始骨折,患者通常会感到疼痛。该区域也可能出现肿胀简单的骨囊肿除非恶化并引起问题,否则通常不会被发现。这种类型的骨囊肿通常是通过影像学检查,如x光片或计算机地形扫描发现的。类固醇注射有时被用来治疗这种情况,因为它们会导致囊肿消失。其他时候,在骨头上钻一个小孔,然后移除囊肿。在这个过程之后,植入供体骨组织来封闭这个洞。

类固醇注射可导致骨囊肿消失。