肋软骨炎的治疗主要包括消炎药和止痛药,其中许多不用处方就可以买到。通常,这种情况下的疼痛会在没有额外治疗的情况下消失,因此,休息有时是唯一的处方。一些医生也可能会开一种肌肉松弛剂来治疗肋软骨炎,或者建议只要有疼...
肋软骨炎的治疗主要包括消炎药和止痛药,其中许多不用处方就可以买到。通常,这种情况下的疼痛会在没有额外治疗的情况下消失,因此,休息有时是唯一的处方。一些医生也可能会开一种肌肉松弛剂来治疗肋软骨炎,或者建议只要有疼痛就在胸前敷上一块加热垫。

肋软骨炎就是这样肋骨和胸骨之间软骨的炎症。肋骨软骨炎的治疗方式也可能取决于病因肋软骨关节炎位于胸腔的肋软骨关节。虽然这不是一种严重或危及生命的疾病,但它非常痛苦,医生也不确定是什么原因引起的,尽管人们经常怀疑某种形式的关节炎。在某些情况下,肋软骨炎可能是由上呼吸道感染或损伤引起的,如果症状是由这两种情况引起的,治疗肋软骨炎也包括治疗感染或损伤

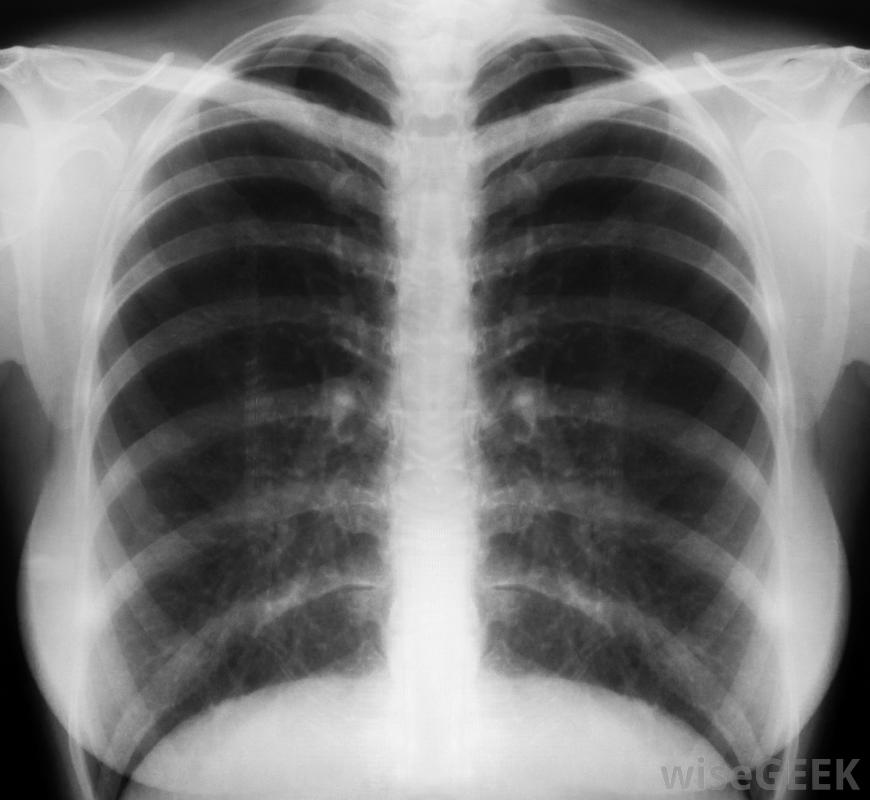
如果怀疑肺部感染或其他损伤,可要求进行胸部x光检查大多数医生建议服用布洛芬,这是一种可以在柜台购买的消炎止痛药。专家建议,这只应该作为一种治疗手段,在进行检查以确定肋骨软骨炎是否是导致胸痛的原因后,健康专家不建议尝试自我诊断这种疼痛,也不建议在进行彻底检查之前进行特定的肋软骨炎治疗在决定肋骨软骨炎的治疗方法之前,医生会检查胸部,同时按压肋软骨关节周围。如果患者在检查时报告该区域疼痛或酸痛,医生通常会诊断这种疼痛是由这种情况引起的。通常只有在检查后才建议对这种情况进行各种治疗。如果怀疑有其他疾病,如肺部感染,或者,如果最近有明显的损伤,医生可能会提供进一步的检查,其中可能包括胸部x光片。当疼痛归因于这些情况之一时,肋软骨炎的治疗也包括治疗潜在的原因。在某些情况下,医生会建议对胸部进行热敷或冷敷以减轻疼痛。在大多数情况下,肋软骨炎的治疗非常少。许多人发现休息几天后疼痛和炎症会自然消失对于一些人来说,症状只出现在剧烈运动期间,并在停止运动后很快消退。在这些情况下,肋软骨炎止痛药治疗可能会帮助那些尽管疼痛仍想继续锻炼的人。
-
发表于 2020-08-06 01:49
- 阅读 ( 593 )
- 分类:医疗卫生