在替代医疗领域,脊椎按摩专业非常接近主流。脊椎按摩师从专业学校获得公认的医学学位,如果医生开处方,他们的服务通常由健康保险覆盖。然而,脊椎按摩师花费过多的钱时间来捍卫他们的职业不受来自医学界内外的批评。 颈部...
在替代医疗领域,脊椎按摩专业非常接近主流。脊椎按摩师从专业学校获得公认的医学学位,如果医生开处方,他们的服务通常由健康保险覆盖。然而,脊椎按摩师花费过多的钱时间来捍卫他们的职业不受来自医学界内外的批评。

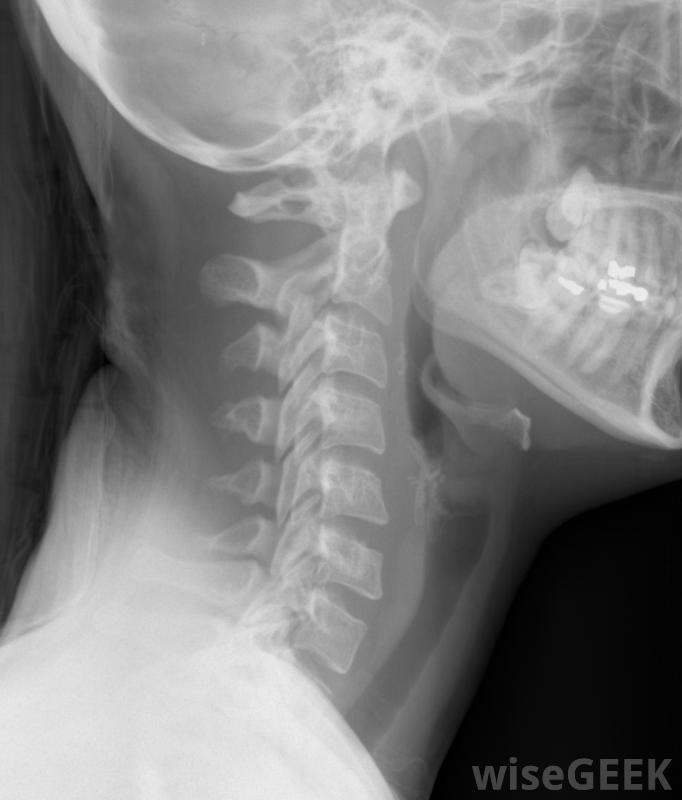
颈部的X光片,包括脊椎骨脊椎指压师接受的是人体生理学和生物学方面的普通教育,但他们的主要关注点是脊柱。脊椎指压师认为,脊椎和颈部的脊椎骨通常会因日常压力而偏离方向,这些错位(称为半脱位)可能是导致各种生理和心理疾病的根本原因,脊椎指压师希望通过对单个椎骨进行物理操作或调整整个脊柱来缓解半脱位造成的压力

脊医有资格对患者进行姿势评估。脊椎按摩师通常通过向这些检查都是为了揭示脊柱的不平衡一个肩膀可能比另一个高,或者一只手臂比另一只手臂更能抵抗压力。有时,脊椎按摩师的客户会站在两个天平上,以确定身体较重的一侧。批评者认为,几乎每个人都有某种形式的脊柱不平衡,但这不一定是贫穷的标志健康。

脊椎指压矫正脊椎的排列。脊椎按摩治疗可以说是落在了某个地方由训练有素的脊柱医生和理疗师提供的。脊椎指压这个词字面意思是"通过手",所以脊椎指压师所做的大部分工作都是亲自操作或调整患者的脊柱和背部。特殊的桌子允许脊椎指压师将患者置于牵引或压迫状态。有时脊椎是通过在每个连续的椎骨之间施加压力而弹出的。其他时候,脊椎指压师可能会通过扭转动作使颈椎重新对齐。

脊椎按摩训练项目包括4200个工作时间。脊椎按摩专业的批评者指出,所有这些脊椎操作都是一种潜在的危险行为这些批评者认为,几乎所有的关节都会产生令人满意的爆裂声,因为软骨中的气体被释放出来,因此爆裂并不意味着关节比操作前更加整齐。脊椎按摩医学的批评者还认为,颈椎特别容易骨折,导致骨折瘫痪从而导致严重伤害的风险大于健康益处。

脊椎按摩师提供脊椎检查然而,脊椎指压师坚决捍卫自己的职业,他们指出了潜在的危险服务的数量,例如处方药和进行手术,脊椎外科医生和理疗师每天提供。脊椎指压师指出,患者受益于脊椎手法的长期效果,不一定是一次性的;脊椎和颈部的物理操作可以与深层组织按摩技术相比较,这两种技术都声称能减轻压力,并且修复受损的神经通路。脊椎指压师还指出,许多健康保险公司为他们提供服务,这意味着有足够多的客户可以从脊椎按摩治疗中获益,以证明他们的花费是合理的。

脊椎按摩师处理与脊椎有关的问题脊椎推拿者们常常认为每天都需要调整。