移民体检包括一个完整的身体检查和医学评估,以确定是否存在任何可传播疾病。对于希望移民到美国(US)的外国人,该检查是必需的,或者任何申请移民签证的个人。移民体检包括一个标准的身体检查,申请人将完全脱掉衣服,允许移民医...
移民体检包括一个完整的身体检查和医学评估,以确定是否存在任何可传播疾病。对于希望移民到美国(US)的外国人,该检查是必需的,或者任何申请移民签证的个人。移民体检包括一个标准的身体检查,申请人将完全脱掉衣服,允许移民医生对个人进行彻底检查。血液检查也是这一程序的一部分

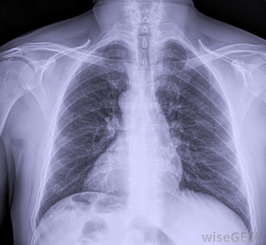
入境体检可能需要进行胸部X光检查。建议计划完成移民的申请人体检是预先为评估做准备的。申请人应该准备好所有必要的文件和疫苗接种的证明。申请人应该研究移民过程和任何可能被问到的问题,以减轻这种经历的压力

在移民体检期间,医生会倾听患者的心脏。作为移民体检的一部分,个人也会接受心理评估。这是为了确定申请人是否精神健康,对公众没有威胁。一系列问题或面试可能是典型的评估过程

肺结核的皮肤测试通常是移民体检的一部分。移民体检还将确定申请人是否需要医疗检查可以在进行此类检测的特殊诊所进行。通常被称为移民诊所,互联网搜索可以提供进行检测的地点。除了疾病,检测还将显示血液中存在非法物质和麻醉品为确定申请人的健康状况和无传染病,将从个人身上抽取血液进行实验室检测,并对血液进行梅毒和人类免疫缺陷病毒(HIV)的存在进行筛查,从而获得免疫力缺乏综合症(AIDS)是严重的公共卫生问题。通常,这些测试将对15岁以上的申请人进行,或者任何被怀疑感染了这两种疾病的儿童。结合移民体检,美国公共卫生官员要求所有申请人接种最新和最新的疫苗。疫苗接种的类型可能因申请人的年龄而异。这些指南由美国政府确定。申请人还将接受肺结核的皮肤测试,结果通常在几天内就知道了如果需要做胸部x光检查,申请人必须在规定的时间内完成一次。在所有的检查和评估完成后,移民医生将为申请人填写一份表格。该表格被称为I 693,将显示所有的结果通常都要密封在一个信封里。表格要交给美国移民局。

艾滋病毒检测是15岁以上移民体检的常规部分。