支气管炎发生在支气管发炎或发炎时。成人支气管炎的症状通常包括咳嗽、胸痛、疲劳和头痛。全身酸痛、低烧、流泪和喉咙痛也可能伴随支气管炎。然而,支气管炎患者,可能有所有或仅有的几个症状。 喉咙痛可能是支气管炎的...
支气管炎发生在支气管发炎或发炎时。成人支气管炎的症状通常包括咳嗽、胸痛、疲劳和头痛。全身酸痛、低烧、流泪和喉咙痛也可能伴随支气管炎。然而,支气管炎患者,可能有所有或仅有的几个症状。

喉咙痛可能是支气管炎的征兆。有两种支气管炎的类型-急性支气管炎和慢性支气管炎。急性支气管炎是由细菌或病毒引起的大支气管发炎,通常持续两到三周。慢性支气管炎是支气管炎的持续性炎症,其特征是反复咳嗽,产生痰和粘液,至少持续三周慢性支气管炎在吸烟人群中最为常见。

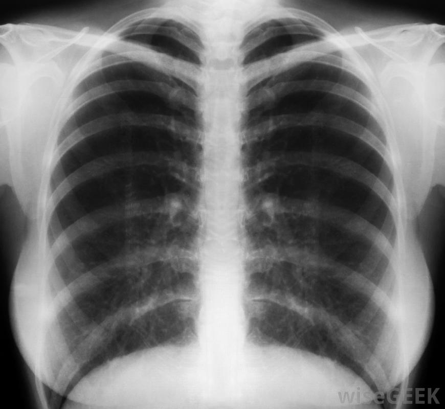
胸部x光片对消除肺炎比确认支气管炎更有效成人急性和慢性支气管炎的症状包括不停的咳嗽,可能产生清、白、绿或黄灰色的痰。其他症状包括疲劳和低热。呼吸急促,喘息和胸痛也可能发生。支气管炎患者可能只经历一到两种症状,而不是所有症状除了这些症状外,慢性支气管炎患者还可能出现持续咳嗽,这种咳嗽通常在早晨或潮湿的天气更为严重,粘液产生,个体呼吸困难。成人支气管炎的治疗有助于缓解症状。推荐的治疗方法通常包括多喝水,充分休息,戒烟并服用阿司匹林、对乙酰氨基酚或布洛芬,以降低发热和减轻疼痛。从加湿器或热水淋浴中呼吸蒸汽可以帮助咳嗽更有效,非处方的止咳药可以帮助停止咳嗽,让患者入睡。含有愈创木酚的祛痰止咳药有助于缓解咳嗽,使其更有效,并有助于排出体内的粘液。医生可以开处方药,如抗生素或处方强效咳嗽药。

成人支气管炎可能会出现轻微的发烧、疲劳和胸痛。医生通过评估患者的症状并用听诊器听他们的胸部来诊断成人支气管炎。在某些情况下,医生可能会要求咳出的粘液样本要做细菌检查x光片通常用来排除肺炎,而不是确诊支气管炎。

喘息和疲劳是支气管炎的常见症状儿童支气管炎症状与成人支气管炎症状相同,非药物治疗也相同,但药物治疗不同,不建议给4岁以下儿童服用任何类型的非处方咳嗽药,除非儿科医生建议,否则反复咳嗽是支气管炎的常见症状src="1234562"/>棕色痰可能是慢性支气管炎的征兆。

医生通过评估患者的症状并用听诊器听他们的胸部来诊断成人支气管炎

患有支气管炎的患者可能会出现胸痛。