胶质母细胞瘤是一种恶性的脑瘤,通常是致命的,对这种肿瘤的治疗主要集中在姑息治疗上,而不是试图治愈病人。这种肿瘤是一种星形细胞瘤,意味着它发生在大脑中被称为星形胶质细胞的细胞中,它是最常见的脑瘤形式。幸运的是,脑瘤...
胶质母细胞瘤是一种恶性的脑瘤,通常是致命的,对这种肿瘤的治疗主要集中在姑息治疗上,而不是试图治愈病人。这种肿瘤是一种星形细胞瘤,意味着它发生在大脑中被称为星形胶质细胞的细胞中,它是最常见的脑瘤形式。幸运的是,脑瘤一般情况下非常罕见,约2%的癌症发生在脑部。

视力问题可能是胶质母细胞瘤的症状与其他星形细胞瘤一样,当大脑细胞中的基因信息受到破坏,导致细胞无法控制地繁殖时,胶质母细胞瘤就开始形成了,肿瘤的生长包括一个坏死区域,周围有分化不良的星形胶质细胞。随着肿瘤的生长,患者可能会出现头晕、恶心、意识混乱、平衡困难、视力问题和其他神经系统问题

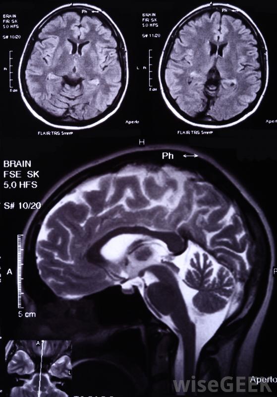
随着肿瘤的生长,患者可能会出现头晕、神志不清和其他神经系统问题。医生可以诊断为胶质母细胞瘤通过医学影像学研究来观察大脑,并对其生长过程进行生物切片以找出它是什么当病理学家检查活检标本时,他或她可以确定哪些类型的细胞参与其中,以及肿瘤的侵袭性有多强。胶质母细胞瘤也被称为IV级星形细胞瘤,指的是肿瘤起源的细胞类型,以及这些肿瘤非常具侵略性的事实

胶质母细胞瘤通常不会转移到身体的其他部位,这使得肿瘤的治疗主要集中在防止肿瘤生长上胶质母细胞瘤通常不会转移到身体的其他部位,这使得肿瘤的治疗主要集中在防止肿瘤生长,并使病人感到舒适。建议手术切除尽可能多的肿瘤,化疗和放疗可以延长患者的寿命,对于胶质母细胞瘤等疾病,新的治疗方法不断开发,改善预后,延长寿命。

治疗胶质母细胞瘤通常侧重于姑息治疗,男性最有可能患上这种癌症,而且通常发生在50岁以上的人身上。这种癌症似乎有一些遗传成分,它也可能与环境中的辐射有关当被诊断为胶质母细胞瘤时,患者应该向医生询问关于预后的真实意见,他们可能会想谈谈临终关怀,这样他们就可以在他们仍处于高度功能状态的情况下对自己的护理做出决定。与所爱的人谈论对护理和治疗的具体愿望也是至关重要的,患者可能会考虑创建一个医疗代理,在无法沟通的情况下确保愿望得以实现的人。

可以进行活检,以确定与胶质母细胞瘤有关的细胞类型

平均而言,被诊断为胶质母细胞瘤的患者寿命不到一年。

医学影像学研究可用于诊断胶质母细胞瘤脑瘤化疗和放疗有助于延长胶质母细胞瘤患者的寿命。