为了选择最好的前臂夹板,你需要评估它能起到什么作用。手腕和前臂的许多损伤都涉及骨折或肌腱拉伤,但并非全部都有。有时损伤不是那么严重,或者是由于慢性问题,如腕管综合征。如果你需要前臂夹板,然而,你几乎总是需要某种保...
为了选择最好的前臂夹板,你需要评估它能起到什么作用。手腕和前臂的许多损伤都涉及骨折或肌腱拉伤,但并非全部都有。有时损伤不是那么严重,或者是由于慢性问题,如腕管综合征。如果你需要前臂夹板,然而,你几乎总是需要某种保护和稳定的东西。

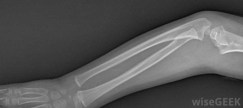
糖钳夹板在前臂骨折中很常见对于需要保护手臂不受电击的损伤,最好的前臂夹板可能是充气的。空气垫通常会将夹板塑造成四肢的轮廓。它还对前臂施加均匀的压力,保持血液循环,另一个优点是前臂空气夹板通常是透明的,这意味着在接受x光检查时可以不使用。但是,它可能会被锋利的物体弹出,而且空气夹板并不总能提供最好的通风

前臂夹板通常是透明的,所以在拍x光片的时候就可以不用了。像腕管综合症或者网球肘这样的病症可以用空气夹板来治疗,但也有专门的支架,可用于这些情况下,将允许一些活动,同时保持一些稳定性和保护在肘部也受累的情况下,通常会使用长臂夹板来固定前臂和肘部。如果手指也需要稳定,则会使用专门的前臂夹板。这些夹板有固定手指的附件

网球肘患者可能会从气夹板中获益。如果手臂骨折,你可能会得到掌侧夹板或糖钳夹板。夹板通常非常坚硬,由铝、塑料或玻璃纤维制成,并有一个坚硬的金属片来稳定。这些类型的夹板通常从手掌开始,沿着前臂向上,在到达肘部之前停止

网球中使用的一些重复动作会给运动员带来很大的压力;前臂肌腱。这种特殊类型的夹板有许多变化。需要考虑的重要因素是易于拆卸和通风。一些前臂夹板完全包裹在手臂上,而其他人则暴露在开阔的地方,用门闩或Velcro®将坚硬的部件固定在适当的位置。Velcro®会更好地呼吸,但门闩可能会提供额外的保护层。如果您需要便宜或简单的东西,并且只有一点点手腕或前臂受伤,使用带Velcro®尼龙搭扣的简单掌侧夹板可能会起作用在前臂上缠上厚厚的布条绷带也能提供轻微的稳定效果,而且通常更便宜,但是它不能呼吸。当你受伤时最好去看医生,以确认损伤的程度,并确保你的前臂夹板适合你的情况

肌腱拉伤的患者可以使用前臂夹板。