慢性胸痛是指在采取治疗措施后胸部持续疼痛。慢性胸痛包括心脏性疼痛,包括心绞痛和心包炎等严重疾病。其他与心脏无关的疾病,包括哮喘和焦虑症,也会引起慢性胸痛。 心包炎是心脏周围膜的炎症,可引起慢性胸痛与心功能不全...
慢性胸痛是指在采取治疗措施后胸部持续疼痛。慢性胸痛包括心脏性疼痛,包括心绞痛和心包炎等严重疾病。其他与心脏无关的疾病,包括哮喘和焦虑症,也会引起慢性胸痛。

心包炎是心脏周围膜的炎症,可引起慢性胸痛与心功能不全相关的心绞痛通常是慢性胸痛的一个原因。虽然通常通过抗心绞痛药物如硝酸甘油来缓解,但这种疼痛通常会复发。心绞痛的根本原因必须在症状出现之前进行治疗在长期内会消退。

治疗慢性胸痛的人可以使用喷雾器帮助他们呼吸慢性胸痛的另一个原因是哮喘。这种呼吸系统疾病在年轻时经常被诊断出来,尽管有许多治疗方法可以缓解疼痛和呼吸困难,疾病的严重程度通常会导致持续性的胸痛或肺痛。胸膜痛是指与肺内膜刺激有关的疼痛。这种疼痛常见于哮喘,可引起剧烈疼痛为了避免疼痛,对患者来说维持治疗计划是很重要的。

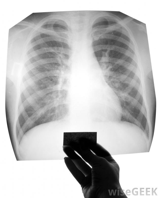
胸部X光片通常可以检测出肺部的液体或其他可能导致疼痛或不适的物质通常,慢性胸痛是焦虑症的常见表现。在恐慌或焦虑症发作时,会释放大量肾上腺素,这会导致胸部感到收缩或紧绷。虽然这种可怕的情况可以模拟心脏病发作,但并不严重。焦虑症发作引起的慢性胸痛可以通过β受体阻滞剂药物或抗焦虑药物来治疗。焦虑症会把人送到急诊室,错误地认为心脏病正在发作。

女性比男性更容易出现不规则的胸痛有时,感染可导致心脏受累,这被称为心包炎。这种情况可导致围绕心脏的膜或囊膜以及液体发生炎症,这会导致严重的慢性胸痛。心包炎的治疗包括使用抗生素来治疗潜在的感染,以及消炎药来减轻炎症。通常,随着感染的消退,胸痛也会消失,通常不会产生持久的影响

从事举重运动可能会引起胸痛。虽然许多慢性胸痛的发生并不严重,在进行有效治疗之前,必须排除更多不祥的原因。通常,诊断可以包括x光片、验血和完整的病史。此外,还必须转诊给适当的医疗机构,例如,如果疼痛与心脏病有关,则应找心脏病学家。此外,如果胸痛被认为与焦虑症有关,心理学家或精神病医生可以有效地治疗该问题。

哮喘是慢性胸痛的一个原因

X光片为医生提供了一种手段,让他们可以看到肿瘤、肿块,炎症和其他可能导致胸痛的因素。

慢性胸痛可能由焦虑引起

慢性胸痛可能是心绞痛的症状

惊恐发作可能会导致胸闷。