如何治疗撕脱性骨折可能取决于几个因素,其中包括骨折患者的年龄和损伤的严重程度。在许多情况下,撕脱性骨折可能不需要太多的治疗,除了医生的诊断和规定的休息时间外。当骨折代表更严重的损伤时,可以采用更广泛的方法来治...
如何治疗撕脱性骨折可能取决于几个因素,其中包括骨折患者的年龄和损伤的严重程度。在许多情况下,撕脱性骨折可能不需要太多的治疗,除了医生的诊断和规定的休息时间外。当骨折代表更严重的损伤时,可以采用更广泛的方法来治疗撕脱骨折。

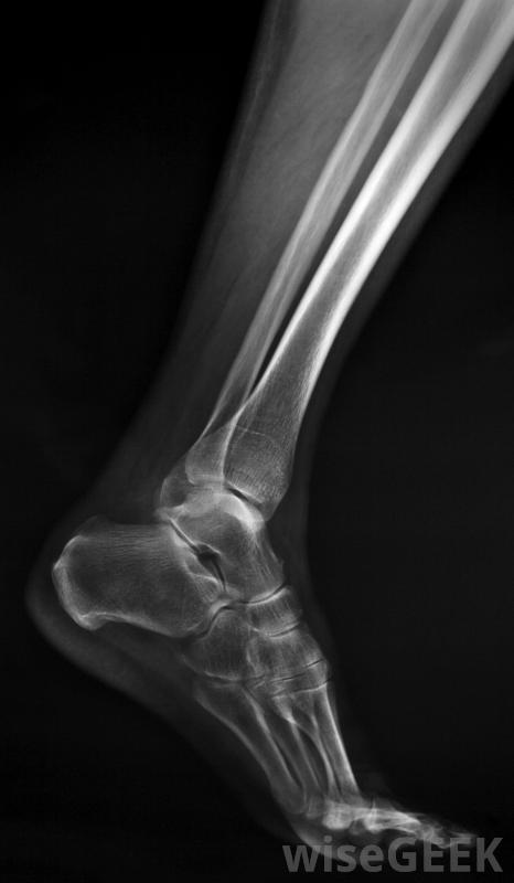
石膏通常用于治疗撕脱性骨折。当试图评估如何治疗撕脱性骨折时,它有助于了解这种类型的损伤是什么。在这种形式的损伤中,韧带或肌腱通常是在剧烈的运动中,如投掷或跳跃时,从骨头上拉出来。当这种情况发生时,韧带或肌腱,因为它附着在骨头上,所以可以带走一块骨头

如果没有X光片,不可能知道与撕脱骨折相关的骨骼损伤程度。这种损伤听起来非常严重,但在许多情况下,治疗撕脱性骨折的黄金标准是让人们休息,根据需要使用糖霜来消肿,可能还需要开一些消炎药来帮助减轻炎症。休息时间可以持续两到六周,这取决于损伤的严重程度。通常情况下,这足以让骨骼重新附着并愈合一些医生计划在一个设定的时间点进行后续的x光检查,以确保再次附着成功。

对撕脱性骨折进行冰敷可能有助于减轻肿胀虽然上述治疗撕脱性骨折的方法在很多情况下都可以使用,但有时需要更大的干预来处理这种损伤。有时当肌腱或韧带拉伤时,在这个过程中,它会受到严重的损伤。这种损伤将使骨骼无法正常地缝合在一起,并可能影响骨折部位的功能。在这种情况下,可能需要手术修复韧带或肌腱损伤另一个值得关注的问题是当儿童发生撕脱性骨折时。孩子们通常会沿着骨生长板发展这些骨折。当这些骨折影响到生长板时,人们真的担心骨骼不能正常地结合在一起,这可能会在生长过程中导致畸形。医生可能会治疗撕脱伤在生长板上发生的骨折通过手术来确保愈合是完全促进的,受伤区域不会影响将来的生长。应该注意的是,人们不建议在家里治疗任何形式的骨折撕脱骨折可能看起来更为良性,至少在某些时候,如果没有x光和医生检查,不可能知道骨或组织损伤的程度所有怀疑自己骨折的人都应该去看医生以获得诊断和正确的治疗建议。

在某些情况下,有必要进行手术来修复撕脱性骨折过程中受损的肌腱或韧带。