核磁共振成像和PET扫描的主要区别在于每种方法都能唤起健康提供者所依赖的图像。这些扫描在确认和探索可能的诊断方面非常有价值,没有这些诊断,医生和其他专业人员将无法有效地治疗疾病。功能上,这两种影像学研究都是通...
核磁共振成像和PET扫描的主要区别在于每种方法都能唤起健康提供者所依赖的图像。这些扫描在确认和探索可能的诊断方面非常有价值,没有这些诊断,医生和其他专业人员将无法有效地治疗疾病。功能上,这两种影像学研究都是通过穿透周围结构来达到相似的目的;然而,他们的方法不同。简单地说,核磁共振成像使用磁技术,而PET扫描则检测身体内的物质以产生活跃的图像

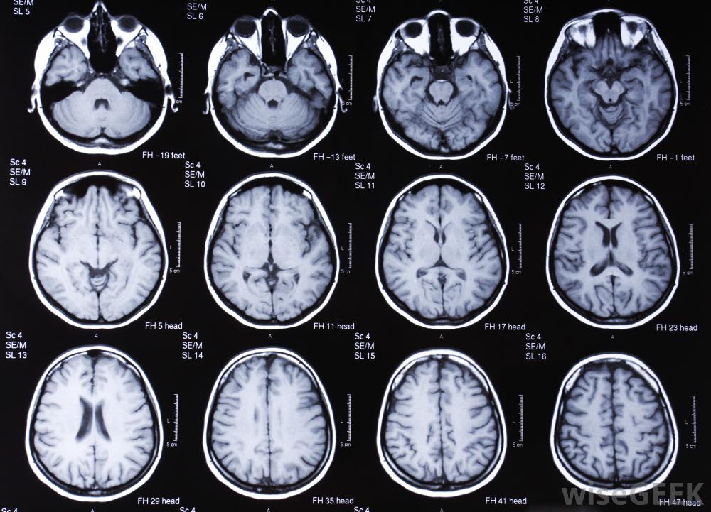
对大脑进行的MRI扫描。MRI和PET扫描都是缩写。MRI是磁共振成像的缩写,PET是正电子发射断层摄影术的意思,虽然这两个词对外行人来说都有点吓人,核磁共振成像仪使用磁场和无线电波来生成内脏和骨骼的图像结构。磁共振成像使用多个磁场,每一个磁场都非常强,以物理方式排列身体内部结构中的特定原子这些磁场使原子中心的原子核旋转运动,这些变化是由于位置的差异以及原子的类型造成的。这些转速的差异被记录下来并转换成磁共振图像。这个图像通常反映了身体的内部结构磁共振成像的优势在于它们能够显示软组织的离散差异,特别是大脑、心脏、肌肉和生长核磁共振成像和PET扫描在形态上有很大的不同。虽然核磁共振成像使用磁场,但一种活性成分是PET扫描成功的关键。这种物质通常被注射到身体的某个特定区域或被摄取,随着这种放射性示踪剂的衰变,它发射带正电的粒子,这些粒子是用专门的设备收集起来的。发射的差异显示了人体系统的工作原理。功能差异可以用计算机图像上不同的亮度和颜色来表示

医学专业人员可以复查MRI扫描,以确定是否有内伤或疾病的迹象。重要的是要认识到MRI和PET扫描在方式上有根本的不同获取他们的图像以及他们可能被利用的环境拍摄和解释这些图像需要大量的知识,这就是为什么只有受过训练的专业人员才应该管理这些测试或从中得出结论。这些测试是极其复杂的程序,只有受过训练的人才能完全理解其机械过程

MRI扫描通常用于诊断损伤或发现异常。