起搏器导线,也叫导线,是一根细线,一端与设备的发电机相连,另一端与心脏相连。每个起搏器可能有两条或两条以上的导线连接到右心房和右心室,有时还连接到左心室。导线的一端有一个电极,电极与心脏相连,以获取心脏的自然电脉冲...
起搏器导线,也叫导线,是一根细线,一端与设备的发电机相连,另一端与心脏相连。每个起搏器可能有两条或两条以上的导线连接到右心房和右心室,有时还连接到左心室。导线的一端有一个电极,电极与心脏相连,以获取心脏的自然电脉冲并将这些信息发送回发生器。

心律失常的患者可能需要起搏器的帮助。
用于将发电机连接到右心室的电线。第二根电线连接右心室和心房,第三根电线连接发电机与左心室和右心室以及右心房。使用的类型取决于患者的情况以及理想的起搏器类型。

起搏器可永久监测心房和心室的心脏节律。
起搏器导线有几种形式,尽管大多数是金属制成的,并且具有某种绝缘涂层。有些采用螺旋式设计,另一些则在一端有小尖头连接到机身上。电线可以是直的,也可以是窄的,或者采用"J"形或类似形状,以便更有效地插入心房。许多起搏器使用组合导线连接心脏的各个区域。
具有旋入机制的导线在植入后能够很快保持原位。然而,那些带有尖头的起搏器,通常更准确地指出心脏不规则带有螺钉装置的电线更常见,但医生将最终判断每个患者需要哪种类型的起搏器导线。
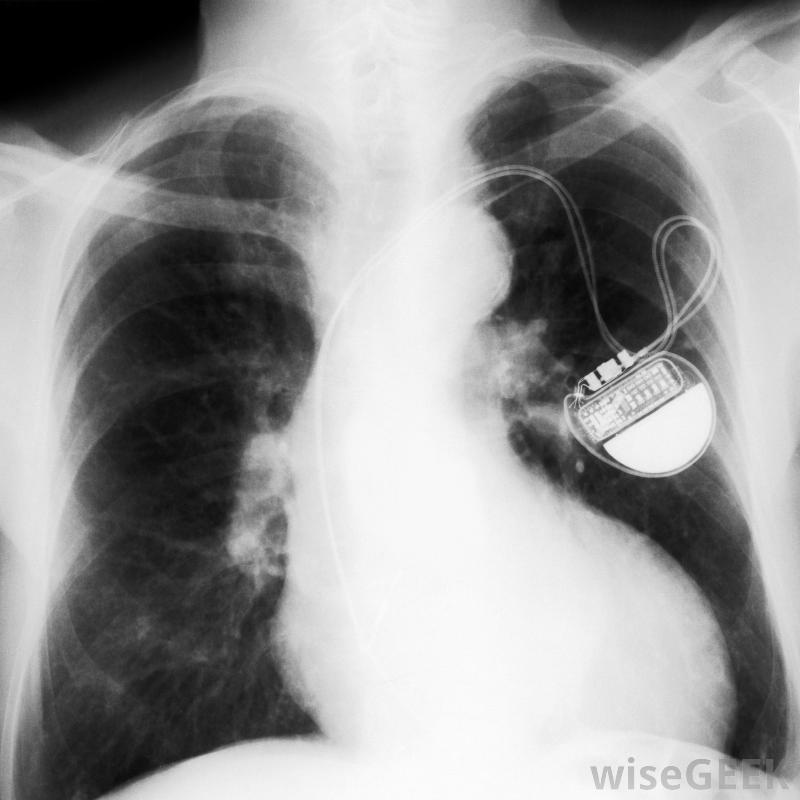
放置过程中,起搏器导线插入胸部左上方的静脉,与放置发生器的区域相同。医生通常使用荧光镜,这是一种X光片,当电线穿过静脉并进入心脏的适当位置时,可以观察这些电线。这通常被认为是一个小手术,而且病人通常不需要全身麻醉。手术通常在诊所或医生办公室进行。
起搏器导线故障的情况非常罕见,因为它们的设计相对简单。更常见的情况是,起搏器口袋可能发生感染,而且整个系统都会被更换。很少有特定型号的起搏器或导线会因为设计或功能错误而被召回。偶尔需要向医生咨询以确保设备正常工作。当电池电量不足时,每五到十年更换一次起搏器。