撞击性骨折,当一块骨头碎裂,碎片被打入其他骨块,可能是相当严重的,一旦确定损伤程度,应迅速治疗,以避免进一步的问题。如果损伤不太严重,石膏、夹板或吊索可能足以将受伤的骨头固定在适当的位置,以便愈合是的。更大范围的骨折...
撞击性骨折,当一块骨头碎裂,碎片被打入其他骨块,可能是相当严重的,一旦确定损伤程度,应迅速治疗,以避免进一步的问题。如果损伤不太严重,石膏、夹板或吊索可能足以将受伤的骨头固定在适当的位置,以便愈合是的。更大范围的骨折伴有多个骨碎片,可能需要手术将其复位,可能需要螺钉或销钉之类的硬件将其固定。由于此类骨折通常非常痛苦,在愈合过程中可能需要药物来控制它。

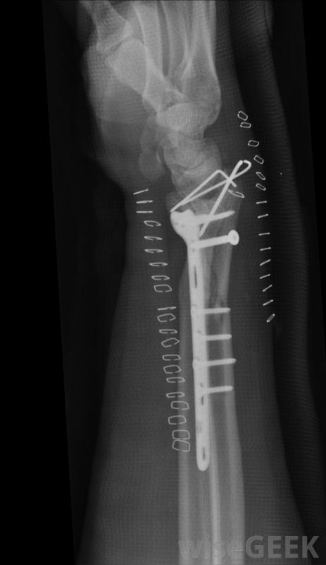
严重的撞击骨折通常需要使用钢板,用杆和螺钉将骨重新对齐。
如果撞击骨折只涉及少量骨碎片,且损伤不太严重,固定可能足以治疗。医生通常会使用X光、MRI,或者CT扫描看看骨折有多严重以及碎片在哪里。较轻的骨折可以用夹板、吊索或石膏固定在适当的位置,以保持受影响区域的不动。这样可以防止骨头的末端互相摩擦或进一步深入,使骨头愈合。可能有必要在相当长的一段时间内尽量减少受伤区域的移动,即使在取出石膏或夹板之后,由于阻生骨折通常愈合得很慢。

阻生骨折在完全愈合之前会严重限制活动性,尤其是老年人。
当阻生骨折涉及大量骨碎片时,可能需要手术严重粉碎的骨头通常需要重建以避免进一步的损伤和正确的愈合。外科植入物,如金属螺丝钉、金属棒或金属针也可能被用来保持骨头的正确连接。手术后,受影响的区域可能需要一段时间的石膏或吊索,以限制活动,并使碎片重新团聚。

X光片将显示骨骼骨折的严重程度。
骨折的严重程度通常与阻生性骨折有关,但这种情况通常会给患者带来相当大的疼痛。尽管疼痛程度因人而异,并且随着损伤程度的不同,但疼痛程度往往是难以忍受的。为了控制这种程度的疼痛,医生可以建议使用止痛药。止痛药的类型可能取决于患者的不适程度;非处方药如非甾体抗炎药对某些患者可能已经足够了,而其他人可能需要处方。

术后,受影响区域可能需要一段时间的石膏或吊索,以使骨碎片重新团聚。

可能需要CT扫描来确定撞击骨折的严重程度。

撞击骨折的治疗可能需要手术。

骨折手术后多吃水果和蔬菜很重要。