胸膜炎的治疗方法各不相同,取决于引起胸膜炎的原因。例如,肺炎可以导致胸膜炎,其他类型的胸膜炎治疗可能包括可待因减轻咳嗽疼痛或非甾体抗炎药(NSAIDs)缓解胸部不适。如果胸部有大量液体,然后可能需要外科手术来排出液体。...
胸膜炎的治疗方法各不相同,取决于引起胸膜炎的原因。例如,肺炎可以导致胸膜炎,其他类型的胸膜炎治疗可能包括可待因减轻咳嗽疼痛或非甾体抗炎药(NSAIDs)缓解胸部不适。如果胸部有大量液体,然后可能需要外科手术来排出液体。

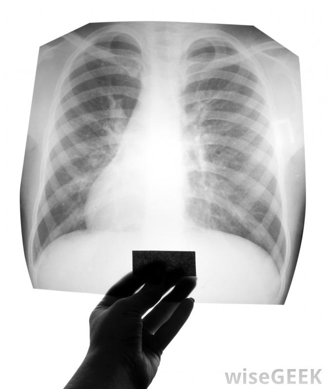
当病人抱怨胸膜炎症状时,医生可能会要求进行胸部x光检查,以确定肺部是否存在过多液体。治疗胸膜炎必须考虑并解决其根本原因。胸膜炎可能是由于肺炎,病毒或细菌感染,或胸部或肋骨受伤。其他严重的疾病也可能引起胸膜炎。胸膜炎的主要症状是胸部不适,当病人深呼吸或咳嗽时,胸部不适加剧。胸膜炎发生在胸膜,保护肺和肺的隔膜上胸腔里的其他结构会发炎和肿胀。胸膜炎的另一个症状是胸腔积液,胸腔积液,胸膜与胸壁之间的区域。

胸膜炎患者通常建议卧床休息。当患者抱怨胸膜炎症状时,医生可能会进行胸部x光或超声波检查,看看是否有过多的液体存在。胸膜腔内有少量液体是正常的,胸腔穿刺是胸腔和胸腔之间的一个小的诊断问题然后由医学专业人员检查液体是否存在感染。这些程序可以帮助医生诊断胸膜炎的病因,以便为患者推荐最好的胸膜炎治疗方法。

患有胸膜炎的患者可能需要治疗,以控制痛苦的咳嗽由病毒感染引起的胸膜炎有时会自行消失。在这种情况下,胸膜炎的治疗包括通过使用非甾体抗炎药(NSAIDS)来控制疼痛,非甾体抗炎药(NSAIDS)可以通过处方或非处方获得,或者可待因(codeine)只能通过处方获得,用于咳嗽治疗。由细菌感染引起的胸膜炎必须得到治疗使用抗生素。胸腔积液可能需要病人在医院接受手术。外科胸膜炎的治疗包括外科医生将一根管子插入病人的胸腔,以排出胸腔中的液体。一旦引流完成,胸膜炎的根本原因必须得到治疗。胸膜炎有时也会发生严重疾病的症状,如充血性心力衰竭、癌症或肺栓塞。任何胸痛都应尽快与医学专家讨论。

胸部不适是胸膜相关的主要症状。