发现
问答
发起
提问
文章
文章
更多
专家
话题
财富榜
商城
Toggle navigation
首页
(current)
问答
文章
话题
商城
搜索
登录
注册
什么是颈椎融合术(Cervical Spinal Fusion)?
颈椎融合术采用植骨和器械相结合的方法,在上脊柱水平、咽喉和/或颈部创造额外的稳定性。它通常只是手术的一部分,尽管也可能有例外,并且往往伴随着椎间盘切除术,或者椎间盘切除术。这种手术会导致一些小范围的运动丧失,需...
颈椎融合术采用植骨和器械相结合的方法,在上脊柱水平、咽喉和/或颈部创造额外的稳定性。它通常只是手术的一部分,尽管也可能有例外,并且往往伴随着椎间盘切除术,或者椎间盘切除术。这种手术会导致一些小范围的运动丧失,需要很长的恢复期,而且并不总是完全有效,很多病人都会因此感到舒服,恢复得很好。
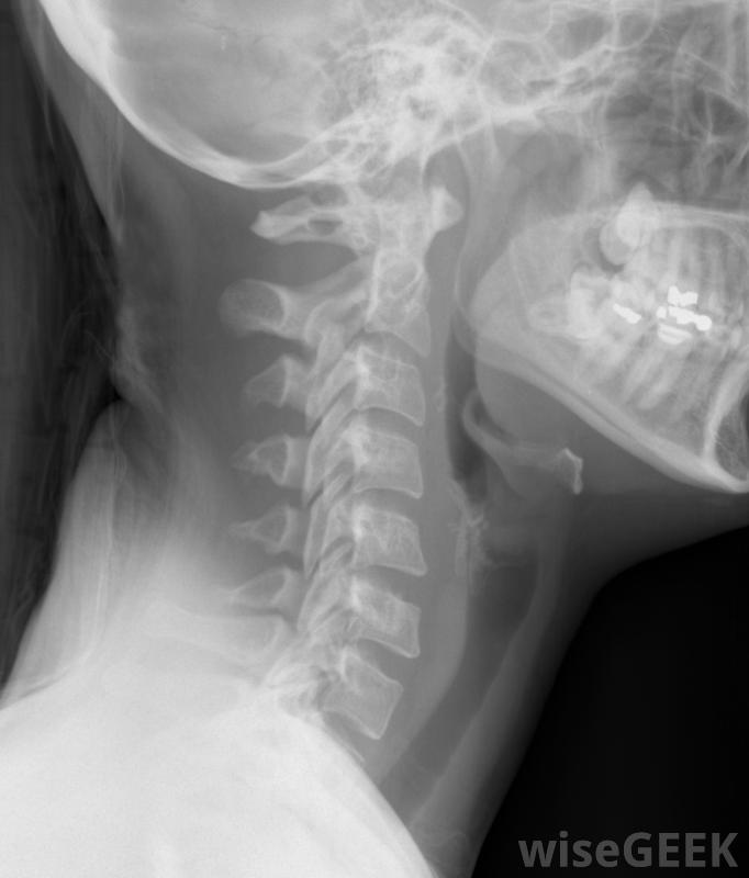
颈部X光片,包括颈椎通过颈部的前部或前部或后部,或颈部的后部进入脊柱。通常情况下,一个或多个椎间盘已被移除,开始进行颈椎融合术。这包括从人体供者处取骨,
同种异体骨移植,或者直接从病人身上取下,自体移植到脊柱的空旷区域,用特殊的化学物质刺激其生长。
视手术结果而定,许多颈椎融合术患者在几天内就出院回家了。金属或其他材料制成的器械也被固定在脊柱上以促进稳定性钢板和大螺丝许多医生认为这种器械的必要性有两个原因:植入脊柱的小片骨头需要几个月的时间才能完全生长,并在脊柱水平之间形成骨性融合。另外,如果脊柱没有融合,钢板和螺钉将继续为颈部提供稳定性
患者在颈椎融合术后的几周内都会戴上颈领,许多前路椎间盘切除和颈椎融合术的患者在几天内就可以出院回家了。有些病人觉得困难的部分其实是从手术开始的。到第五到六周,大多数病人必须一直戴着硬领。大约在第四到第六周,患者也开始进行物理治疗,以改善活动范围,并对肌肉无力进行治疗。当项圈最终脱落时,许多人可以重新开始工作,只要对身体要求不太高。
椎间盘突出和压迫部位可能是颈椎融合术的结果真正的颈椎融合术通常不会在6周内完成,尽管有些人可能已经开始融合。某些病人,特别是吸烟者,永远无法实现融合,因为尼古丁会阻碍骨骼的生长。这可能会或可能不会引起并发症
颈椎融合术结合了植骨和器械,使脊柱上部更加稳定脊柱后凸,或脊柱前屈,颈部疼痛,或椎间盘摘除部位周围出现新的椎间盘和压迫问题。医生有时建议再次手术以再次尝试融合,这可能是仅有的一次融合不伴随椎间盘切除术的情况。或者,建议手术治疗颈椎的新问题,例如压迫的神经或新的椎间盘。颈椎融合术后活动范围的丧失取决于融合的脊柱节段的数目。单一节段不太可能导致明显的损伤,但多层次融合可能会影响人们的转头能力。这是可以理解的,因为允许活动的弹性椎间盘已被骨取代。物理疗法通常可以帮助人们弥补这些损失,但这需要时间尽管有可能的缺点,神经外科医生和骨科医生定期进行颈椎融合术,他们的病人往往报告积极的结果,大多数需要这种手术的人是在极端和无情的疼痛对于许多病人来说,放弃少量的颈部功能来达到缓解似乎是一种公平的权衡,当由称职的外科医生进行这项手术时,人们也被吸引到与此相关的高恢复率。
发表于 2020-08-02 14:28
阅读 ( 663 )
分类:
医疗卫生
0 推荐
收藏
你可能感兴趣的文章
什么是生殖器疱疹水泡(Genital Herpes Blisters)?
907 浏览
什么是肾上腺素(Epinephrine)?
1059 浏览
什么是输尿管囊肿(Ureterocele)?
1144 浏览
什么是硫酸伪麻黄碱(Pseudoephedrine Sulfate)?
904 浏览
什么是嘴呼吸(Mouth Breathing)?
1059 浏览
什么是水肿手套(What Edema Gloves)?
730 浏览
什么是价值体系(Value System)?
3047 浏览
什么是阴道炎(Colpocleisis)?
573 浏览
什么是女性乳房发育(Gynecomastia)?
548 浏览
什么是水肿鞋(Edema Shoes)?
671 浏览
什么是精神障碍(Mental Disorder)?
932 浏览
什么是男性雌激素阻滞剂(What Estrogen Blockers for Men)?
1318 浏览
什么是硬性指关节炎(Sclerodactyly)?
724 浏览
腰痛怎么办(What can I do About Low Back Pain)?
703 浏览
流感的结构有什么独特之处(Unique About the Structure of Influenza)?
706 浏览
什么是臭氧疗法(Ozone Therapy)?
775 浏览
什么是湿疣(Condyloma)?
854 浏览
我如何治疗足弓疼痛(Treat Foot Arch Pain)?
783 浏览
什么是非典型三叉神经痛(Atypical Trigeminal Neuralgia)?
990 浏览
甲醇中毒怎么治疗(the Treatment for Methanol Poisoning)?
692 浏览
什么是囊性病变(Cystic Lesions)?
894 浏览
什么是激光痔疮切除术(Laser Hemorrhoidectomy)?
673 浏览
碱中毒和酸中毒有什么区别(the Difference between Alkalosis and Acidosis)?
1049 浏览
什么是前切除术(Anterior Resection)?
713 浏览
什么是牙髓息肉(Pulp Polyp)?
1055 浏览
处方药的剂量是根据病人体重计算的吗( Prescription Drug Doses Based on Patient Weight)?
752 浏览
什么是SGOT测试(SGOT Test)?
1390 浏览
什么是脊柱融合(Spinal Fusion)?
1595 浏览
什么是室上性心动过速(Supraventricular Tachycardia)?
641 浏览
什么是脐下切口(Infraumbilical Incision)?
657 浏览
相关问题
0 条评论
请先
登录
后评论
admin
0 篇文章
作家榜
»
xiaonan123
189 文章
汤依妹儿
97 文章
luogf229
46 文章
jy02406749
45 文章
小凡
34 文章
Daisy萌
32 文章
我的QQ3117863681
24 文章
华志健
23 文章
推荐文章
诵读困难对大脑有什么影响(Effects of Dyslexia on the Brain)?
瑞舒伐他汀和辛伐他汀有什么区别(the Difference between Rosuvastatin and Simvastatin)?
什么是痛风(Tophaceous Gout)?
疫苗是如何起作用的(Vaccine Work)?
黄体酮对月经有什么影响(Effects of Progesterone on Menstruation)?
什么是阿育吠陀医学(Ayurvedic Medicine)?
什么是情感障碍(Affective Disorder)?
什么是无菌拭子(Sterile Swab)?
什么是鼻癌(Nose Cancer)?
牙龈痛怎么治疗(the Treatment for Sore Gums)?
什么是创伤后应激障碍(Post-Traumatic Stress Disorder)?
什么是刮匙(Curette)?
什么是乳腺纤维化(Breast Fibrosis)?
使用布洛芬的利弊有哪些(Pros and Cons of Ibuprofen Use)?
什么是骨板(Bone Plates)?
有哪些不同类型的脊椎按摩技术(Different Types of Chiropractic Technique)?
什么是原发性感染(Primary Infection)?
我如何使用β受体阻滞剂进行锻炼( Exercise with Beta Blockers)?
什么是胎儿NST(Fetal NST)?
印楝对疥疮有多有效(Effective Is Neem for Scabies)?
佩奥特是什么(Peyote)?
什么是鼻腔冲洗(Nasal Douche)?
什么是高糖(Sugar High)?
什么是处女膜切开术(Hymenotomy)?
什么是慢性咳嗽(Chronic Cough)?
硬化疗法治疗静脉曲张的利弊有哪些(Pros and Cons of Sclerotherapy for Varicose Veins)?
有治肺气肿的方法吗(Is There a Cure for Emphysema)?
什么是三关节融合术(Triple Arthrodesis)?
什么是NICU(NICU)?
什么是止血剂(Hemostatic Agent)?
×
发送私信
发给:
内容:
×
举报此文章
垃圾广告信息:
广告、推广、测试等内容
违规内容:
色情、暴力、血腥、敏感信息等内容
不友善内容:
人身攻击、挑衅辱骂、恶意行为
其他原因:
请补充说明
举报原因:
×
如果觉得我的文章对您有用,请随意打赏。你的支持将鼓励我继续创作!
联系我们:uytrv@hotmail.com
问答工具