正常的咳嗽可能是轻微的刺激,慢性咳嗽,或者持续8周以上的咳嗽会带来更大的问题。慢性咳嗽会使人精疲力尽,也会导致失眠、沮丧,慢性咳嗽也是最常见的健康问题之一与正常咳嗽一样,慢性咳嗽是一种潜在问题的症状。治疗慢性咳...
正常的咳嗽可能是轻微的刺激,慢性咳嗽,或者持续8周以上的咳嗽会带来更大的问题。慢性咳嗽会使人精疲力尽,也会导致失眠、沮丧,慢性咳嗽也是最常见的健康问题之一与正常咳嗽一样,慢性咳嗽是一种潜在问题的症状。治疗慢性咳嗽的最好方法是去看医生,确定病因,并治疗病因。导致血液或隔膜排出的咳嗽,以及影响人的咳嗽日常生活中,通常需要医生的注意。

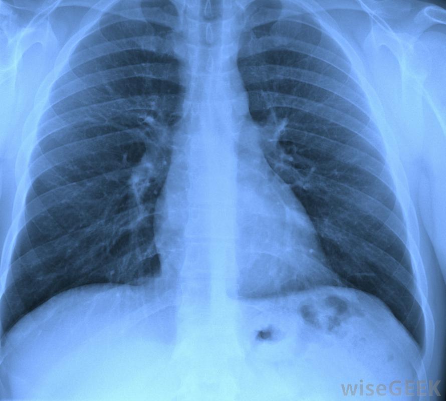
慢性咳嗽可能是肺癌的症状患有慢性咳嗽的病人可能会有许多其他症状。鉴别这些症状是诊断咳嗽原因的必要条件。一些症状可能包括胃灼热、气喘、流鼻涕、鼻塞、气短、鼻涕下咽,口中有酸味,或咳血。

医生可能会开鼻喷雾剂大多数慢性咳嗽是由胃酸反流、鼻后滴漏、过敏或哮喘引起的。其他原因包括接触刺激物,如有害化学物质或杀虫剂、支气管炎、呼吸道感染、肺癌或对血压药物的反应。支气管扩张,肺部无法排出的严重病症粘液也可能是罪魁祸首。

慢性咳嗽可导致失眠;然而,也有一些危险因素会增加一个人患上慢性咳嗽的机会。女性比男性更容易患上慢性咳嗽,因为她们的咳嗽反应比男性更敏感。吸烟者和吸入二手烟的人一样,更容易患慢性干咳虽然人们经常不愿意向医生寻求帮助,比如咳嗽,但是慢性咳嗽不解决会导致严重的并发症。如果不治疗,慢性咳嗽会导致尿失禁、头痛、大汗和头晕例,甚至可能导致肋骨骨折。医生通常可以在一次就诊中诊断出慢性咳嗽的原因。如果不是,则可能需要进行某些检查,如胸部x光片、鼻内窥镜或窥镜检查来确定病因确定原因,制定治疗计划慢性咳嗽的治疗将取决于所做的诊断。如果咳嗽的原因是常见的鼻后滴漏,可以开抗组胺药和减充血剂。哮喘患者可以在离开医生的办公室时拿到一张吸入器或鼻喷雾剂的处方,而胃酸反流的患者可以服用降酸药物

慢性咳嗽持续8周以上。