颈神经根病是指颈部神经受到刺激或神经根离开脊柱时受到压迫-通常称为神经卡压。这种情况的主要原因是退行性改变、椎间盘突出和脊柱不稳。通常,颈神经根病的第一个症状是颈部疼痛或肌肉僵硬。手臂、肩膀、背部和胸部...
颈神经根病是指颈部神经受到刺激或神经根离开脊柱时受到压迫-通常称为神经卡压。这种情况的主要原因是退行性改变、椎间盘突出和脊柱不稳。通常,颈神经根病的第一个症状是颈部疼痛或肌肉僵硬。手臂、肩膀、背部和胸部也可能疼痛,手、手臂和肩部也会虚弱或麻木。

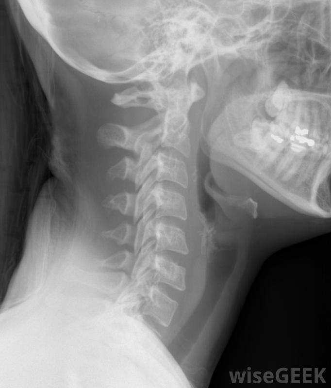
包括颈椎在内的颈部X光片。导致颈神经根病的原因很多。随着年龄的增长,它们的骨骼和软组织发生退行性改变。脊柱椎间盘失去水分并开始塌陷,从而导致椎骨之间的间隙变窄。小关节(位于相邻椎骨之间和后面的关节)由于压力增加而受到刺激而变大,因此压迫神经引起疼痛。

颈神经根病可能导致严重的颈部疼痛椎间盘突出也可引起颈神经根病,要么椎间盘被推离原位,要么椎间盘外壁的环形物受伤破裂,从而导致核内物质挤出椎间盘椎间盘突出可能是由于沉重的、反复的抬举、扭曲或弯曲而使椎间盘核受到额外压力的结果,也可能是由于椎间盘的自然变化造成的。椎间盘容易撕裂和破裂,并用疤痕组织修复,随着时间的推移,疤痕组织会使椎间盘变弱颈椎神经根病可由椎间盘突出引起,脊柱不稳是颈神经根病发病的另一个原因包括脊椎骨间的额外运动,从而对颈部神经造成压力。有时由于严重的头部或颈部损伤导致支撑韧带撕裂或拉伸而发展。此外,患有结缔组织疏松的疾病的人也可能出现脊柱不稳

信息技术;颈神经根病患者在从颈神经根病康复时,通常戴一到两周的颈领。颈神经根病的症状是由于压迫受刺激的神经引起的。颈部、手臂、肩部疼痛,背部和胸部很常见,头痛也很常见。通常,神经会发生变化,比如肩部、手臂或手部的肌肉麻木、刺痛和无力。此外,上臂肌肉的反射也会受到影响如果不是颈椎病的治疗方法,神经根病会迅速恶化用于缓解颈痛和背痛等症状取决于椎间盘和椎骨损伤的严重程度。医生通常会鼓励颈部固定,卧床休息几天,并使用软领子一到两周与理疗师一起工作是另一种治疗方式。最初是为了缓解疼痛和炎症。物理治疗有多种选择,如使用牵引力拉伸颈部关节和肌肉,或用电刺激来缓解疼痛。也可以开药,如消炎药、肌肉松弛剂或麻醉药品,用于严重的颈神经根病患者。

沉重而重复的举举举可导致椎间盘突出,从而导致神经卡压。