T1磁共振成像(MRI)研究是一种基本的MRI研究,可以收集患者体内发生的情况。这种检查可以快速进行并返回高对比度结果。在某些情况下,患者可能需要使用不同的MRI技术进行重复检查,如有必要,还可以订购其他医学影像学研究,以及...
T1磁共振成像(MRI)研究是一种基本的MRI研究,可以收集患者体内发生的情况。这种检查可以快速进行并返回高对比度结果。在某些情况下,患者可能需要使用不同的MRI技术进行重复检查,如有必要,还可以订购其他医学影像学研究,以及血液学等诊断工具。

放射科医生或技师可以在观察室实时查看T1 MRI图像T1是指人体不同组织对来自MRI机器的脉冲作出反应的方式。这些机器通过激发质子并读取磁场的变化来工作。T1值是指平均值特定组织类型中的质子在返回到其基本状态之前处于高能状态的时间量。不同的组织,如脂肪和肌肉,对MRI脉冲的反应不同,从而在结果图像中产生对比

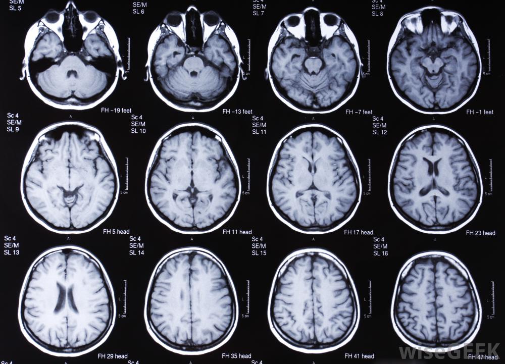
脑部的MRI扫描。T1核磁共振成像对大脑成像特别有用,因为灰质和白质的行为非常不同,而且清晰,清晰的大脑图像将被返回此外,脑部的高强度病变在核磁共振成像上会清晰地显示为非常暗的斑点,而像出血这样的东西则会根据其大小和强度而呈现苍白到白色。使用T1核磁共振成像可以让医生获得大脑内部的高分辨率图像,以收集用于制定治疗计划的信息对病人来说,人体内的各种组织都有不同的T1"重量,"指的是它们在核磁共振成像机中的活动。调整机器所用的脉冲,可以通过以不同的方式激发质子而返回各种结果。除了详细的黑白T1核磁共振图像外,这还可以用于创建三维核磁共振成像和彩色核磁共振成像这是医学诊断中最常见的MRI形式,可以使用或不使用造影剂。有时先在没有对比剂的情况下进行扫描,然后用对比剂重复扫描,以突出显示任何差异和结构异常。在T1 MRI中,患者需要安静地躺在核磁共振成像机的桌子上。机器会发出噪音,可能会让人感到不舒服,患者通常会被提供耳部保护,并可能会被给予镇静剂,以帮助他们在机器中保持冷静。在T1核磁共振成像期间移动会干扰读数,可能会迫使重复测试以收集准确的数据核磁共振成像机。