腓骨手术治疗腓骨骨折或缺损,小腿骨,或获取移植材料。手术的具体细节取决于患者为什么需要手术。可能由足踝专家、骨科医生进行,或者是神经外科医生。康复时间从几个小时到几周或几个月不等,通过物理疗法来重建患肢的力量...
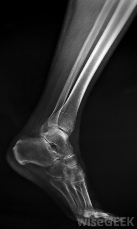
腓骨手术治疗腓骨骨折或缺损,小腿骨,或获取移植材料。手术的具体细节取决于患者为什么需要手术。可能由足踝专家、骨科医生进行,或者是神经外科医生。康复时间从几个小时到几周或几个月不等,通过物理疗法来重建患肢的力量。如果患者想了解更多关于治疗方案和医生建议的信息,他们可以在手术前向其他外科医生寻求第二意见腓骨是小腿中较薄的长骨,需要进行腓骨手术的一个常见原因是修复骨折沿着小腿外侧延伸至脚踝,通常在踝关节附近骨折。有些骨折可以通过石膏固定修复,但其他骨折可能需要手术治疗。这包括在骨骼编织时用钉住骨头使其稳定,以及检查韧带、肌腱的损伤,这种损伤可以在腓骨手术中得到纠正。

腓骨手术后,腿通常被固定在石膏中另一个可能出现在腓骨周围的问题是神经卡压,这可能导致刺痛感、疼痛或无法控制脚神经外科医生可能会建议腓骨手术来释放被困的神经并重新定位,这样患者就不太可能再次出现这种问题。其他的手术可以解决诸如:受伤后腓骨周围韧带撕裂;骨骼形状异常;或关节炎和感染引起的损伤

修复骨折是进行腓骨手术的最常见原因腓骨植入身体其他部位。在骨移植手术中,病人被麻醉,同时采集材料样本并植入新的位置,如颌骨。这可以在严重损伤后重建骨骼,或者作为矫正手术的一部分来解决先天性畸形。在这种情况下,手术团队可能会包括重建外科医生来创造一个平滑而均匀的外观。手术所需的麻醉水平可能会有所不同。对一些人来说,只有清醒镇静和局部麻醉剂是必需的。其他人需要全身麻醉以确保病人的安全,这通常会导致较长时间的恢复。患者应在腓骨手术后尽快进行活动,以降低血栓的风险,并开始重建腿部的力量。建议他们考虑将物理治疗作为恢复的一部分

腓骨手术对于修复腓骨(小腿的一块骨头)的骨折或缺损是必要的。