肩关节滑囊炎最好的治疗方法是减少炎症,这样可以减轻问题的严重程度和疼痛。滑囊炎是人体骨骼和关节之间充满液体的囊的炎症。就肩关节而言,手臂的运动可能会使疼痛加剧,但手臂的运动通常在肩部滑囊炎消退之前是无法避免...
肩关节滑囊炎最好的治疗方法是减少炎症,这样可以减轻问题的严重程度和疼痛。滑囊炎是人体骨骼和关节之间充满液体的囊的炎症。就肩关节而言,手臂的运动可能会使疼痛加剧,但手臂的运动通常在肩部滑囊炎消退之前是无法避免的,避免手臂在头顶上反复移动是最好的治疗方法之一;肩关节。
肩上举重物或其他物体等运动会使肩关节过度受力,导致囊炎。肩囊炎的主要症状是疼痛和关节肿胀。治疗肩关节肿胀的最好方法是用冰袋。在将冰袋放在裸露的皮肤上之前,应该用毛巾包住冰袋。许多肩关节滑囊炎是由重复的头顶运动引起的,因此应尽可能避免这些情况。

冰袋可用于治疗与肩关节滑囊炎相关的关节肿胀。
对于侧睡的人来说,睡在受影响的肩膀上会加重滑囊炎,因此理想情况下应避免使用。如果休息和结冰不能帮助治愈滑囊炎的疼痛,应寻求医疗帮助。如果肩关节红肿,应立即寻求专业医护人员;这通常表明感染。医生会为感染性肩滑囊炎开抗生素治疗医生也可以进行一些诊断测试,包括血液测试、超声波扫描或x光检查。

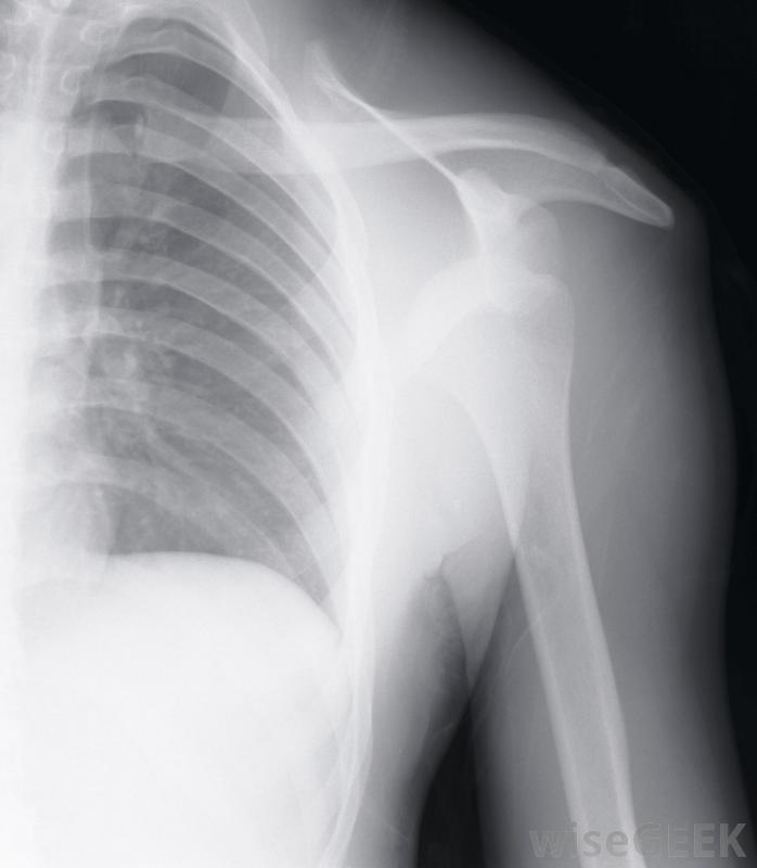
肩关节x光检查可帮助指示肩关节滑囊炎的严重程度和正确的治疗。
如果肩滑囊炎仍然很痛,医生可以通过注射可的松来治疗。可的松是肾上腺中天然存在的一种激素。合成的可的松可以通过注射到关节来减轻疼痛和炎症来用作抗炎药。由于肩关节滑囊炎是炎症,而可的松是用来缓解的,注射是肩关节滑囊炎减轻疼痛肿胀的最佳治疗方法。

如果三个月后,非手术治疗仍未成功,手术治疗肩关节滑囊炎可能是最好的治疗方法。但是手术治疗滑囊炎是很少见的,因为非手术治疗通常可以缓解这个问题。一些滑囊炎患者可能会尝试其他治疗方法,如针灸,在考虑手术前,针灸师会在肩部区域插入小针头,在特定部位施加稳定的压力,以鼓励新的血液流入囊袋。在某些情况下,针灸等肩关节滑囊炎的治疗可能是最好的选择,因为它们可以减少炎症,帮助关节活动流畅。

可能需要医生进行体格检查以正确诊断肩部滑囊炎。