结核病皮肤试验结果阳性并不一定表明某人患有活动性肺结核或具有传染性。通常,当一个人回来时,其皮肤试验呈阳性,需要额外的检查来确定是否存在活动性肺结核。额外的检查将包括胸部X光片和对他或她的症状的回顾。根据这...
结核病皮肤试验结果阳性并不一定表明某人患有活动性肺结核或具有传染性。通常,当一个人回来时,其皮肤试验呈阳性,需要额外的检查来确定是否存在活动性肺结核。额外的检查将包括胸部X光片和对他或她的症状的回顾。根据这些结果,可能需要进一步的检查和治疗。

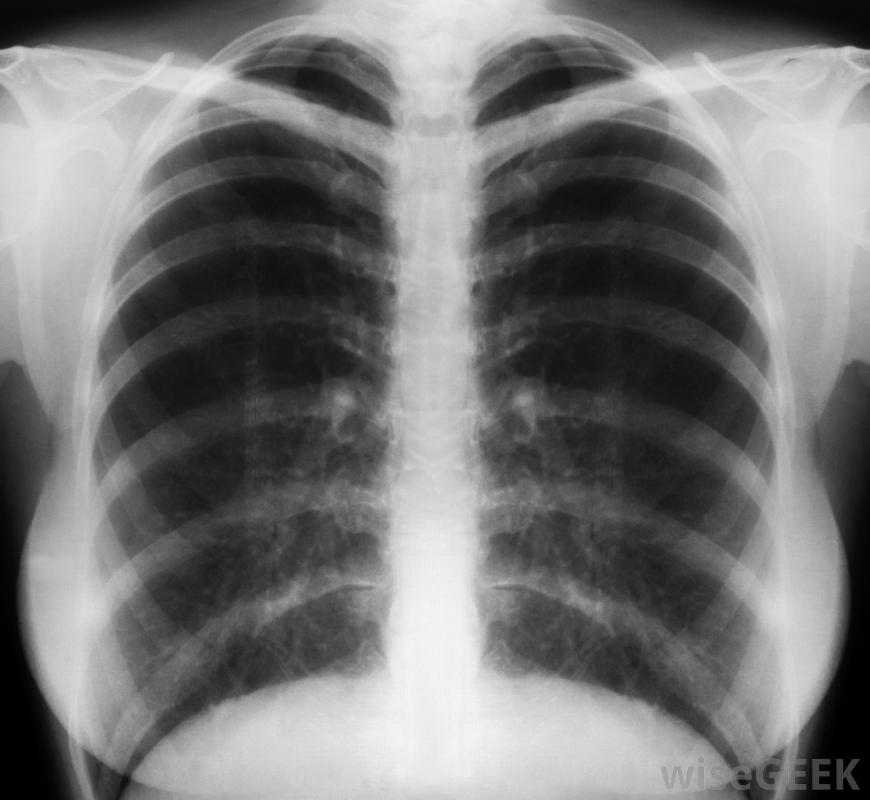
胸部x光片有助于结核病的诊断。
要了解肺结核(TB)皮肤测试结果呈阳性后会发生什么,了解什么是结核病测试非常重要。在PPD测试中,也称为mantoux测试,在皮肤下注射少量结核病抗原-结核菌素。注射后48到72小时检查注射部位,检查皮肤有无隆起区域,称为硬结。如果结核病皮肤试验呈阳性,这意味着患者对引起结核病的细菌有反应,但这并不意味着患者有症状或活动性疾病。

结核病皮肤试验阳性后需要进一步诊断。
皮肤测试结果出来后,第一次检查通常是胸部X光片。X光片可以确定肺部是否有浸润或病变,这可能表明肺结核是活动性肺结核。通常还需要检查症状清单,以确定是否有结核病的症状,如体重减轻、咳血、发烧,如果胸部X光检查正常,没有任何症状,通常不需要进一步检查

肺结核患者没有资格献血。
在某些情况下,没有活动性肺结核但检测结果呈阳性的人可能需要接受药物治疗。导致结核病的细菌可能出现在皮肤试验阳性的人身上,但也可能处于休眠状态。为了预防这种细菌在将来变得活跃,可以使用药物来预防。

肺结核是一种传染性疾病,可能会导致淋巴结肿大。
当胸部X光片显示有肺结核的迹象或出现症状时,一个人可能患有活动性肺结核。此时,需要分析痰液样本以确认细菌的存在。患者还需要远离与其他人的密切接触,以防止疾病传播。如果存在活动性肺结核,则应使用抗生素药物治疗。
肺结核皮肤测试呈阳性,他将来可能会有阳性的测试。PPD皮肤测试是某些类型就业和入学的常规要求。对于有PPD皮肤测试阳性史的人,通常每年进行一次症状检查表。

活动性肺结核患者将接受一个疗程的口服抗生素治疗。