核磁共振成像(MRI)是核磁共振成像的简称,机器使用高功率的磁铁来产生令人难以置信的详细的身体图像。一个强大的主磁铁产生的磁场比地球发出的磁场强得多。强烈的磁场使我们身体中丰富的氢原子排列起来均匀地沿着磁场的...
核磁共振成像(MRI)是核磁共振成像的简称,机器使用高功率的磁铁来产生令人难以置信的详细的身体图像。一个强大的主磁铁产生的磁场比地球发出的磁场强得多。强烈的磁场使我们身体中丰富的氢原子排列起来均匀地沿着磁场的边缘。然后,较小的梯度磁铁以外科手术的精度脉动磁场,使氢原子分散,并使它们朝不同的方向旋转。当主磁场将氢原子拉回到其均匀的形成、运动和交替的旋转方向时释放能量,称为共振,可以借助于射频转换成图像。

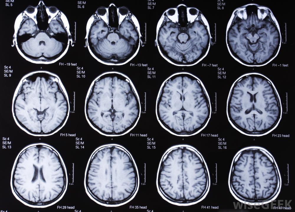
脑部的核磁共振扫描。
核磁共振机是管状的,有一个足够大的开口可以让人进去。由磁场解释的图像极易受到运动造成的失真的影响。因此,在扫描过程中,病人必须尽可能保持接近完全静止。对一些人来说,这可能是相当困难和不舒服的,因为它可以扫描过程需要一个小时或更长时间。由于各种磁铁的旋转,扫描过程也相当响亮。为了帮助患者在没有听到可怕的笨重声音的情况下打发时间,医生通常允许病人带耳机听音乐。

核磁共振技术人员经常从相邻房间观察手术过程。
使用各种初级磁铁产生大磁场超导磁体由线圈和电线组成,是使用中最强大的一次磁铁之一。当电通过电线时,它们会产生超导电性,从而产生相当大的磁场。然而,如果电线保持在极低的温度(低于零度),超导磁体才起作用使用液氦。

核磁共振成像机使用磁场和无线电波来创建内部器官和骨骼结构的图像。
一些核磁共振扫描仪使用相同的一组带电的线圈和电线,如用于超导磁体的线圈和电线,但没有液氦来保持其冷却。这样,线圈和电线就产生了一个电阻性磁铁,而不是超导磁体。没有液氦的冷却作用,超导电性就无法实现;相反,更大的电流被用来产生一个稍弱但仍然有效的磁场。另一种可能用于核磁共振扫描的主磁体是一个永磁体。永磁体实际上是一个不断释放磁场的巨大磁体。由于它们的大小和压碎的重量,它们不是磁共振成像设备中最受欢迎的磁铁。

磁共振成像设备。
梯度磁铁能够完全围绕人的身体旋转。梯度磁铁产生的较小磁场能够以惊人的精度和清晰度精确定位身体需要扫描的部位。这些磁铁与发射射频的线圈和电线一起工作,射频也会影响氢原子,从而能够收集身体各个部位的详细读数磁场和无线电频率的结合使得专家能够从任何角度扫描人体的"切片",提供对身体内部状况的无与伦比的观察。

医疗专业人员使用核磁共振仪诊断内部疾病。
尽管核磁共振扫描在许多方面都优于对于其他的扫描方法来说,操作核磁共振成像机的单调乏味并不是检测大多数损伤的必要条件。例如,骨折通常在X光片上表现得很清楚,而X光片的操作要简单得多,而且成本也要低得多。然而,X光片不能很好地捕捉到的是软组织图像。对于这些,核磁共振成像机是最受欢迎的图像扫描方法。
核磁共振成像仪能够提供人体任何部位软组织的详细图像。这使其成为检测软组织状况(如脑出血、乳腺癌和韧带损伤)的理想设备。核磁共振成像仪的另一个优点是它们不会发出任何辐射。尽管X射线等扫描方法产生的辐射并没有被证明是有害的,它通常能让病人安心,让他们知道自己不会受到任何辐射。
由于核磁共振仪产生的强大磁场,他们必须在严密的监督下小心操作,必须采取一定的预防措施以防止受伤。接受核磁共振扫描的病人身上不能有任何金属物体,他们必须揭示是否曾有任何金属物体通过外科手术插入到他们的身体中。即使是装有核磁共振机的房间在机器运行时也必须没有松动的金属物体在使用中,磁场被认为能从相当大的半径吸引物体

脑MRIs对研究者和医生都很重要。