异烟肼治疗肺结核是非常有效的,如果病人按指示服用,并且他们的医疗提供者通过治疗对其进行监测。这种药物可以用于治疗活动性和潜伏性的细菌感染,这些细菌会导致这种疾病杀死他们,并限制对病人肺部的损害潜在的严重副作用...
异烟肼治疗肺结核是非常有效的,如果病人按指示服用,并且他们的医疗提供者通过治疗对其进行监测。这种药物可以用于治疗活动性和潜伏性的细菌感染,这些细菌会导致这种疾病杀死他们,并限制对病人肺部的损害潜在的严重副作用,包括肝损伤和急性毒性;这使得在开始治疗前进行筛选并定期参加随访非常重要。

按照指示服用异烟肼对肺结核的治疗相当有效。这种药物是在20世纪初开发的,并且异烟肼在20世纪60年代被用于结核病治疗。单凭异烟肼治疗结核病通常不是很有效,因为细菌会迅速产生耐药性。与其他药物联合治疗,可以帮助全面解决感染问题。药物需要长期服用,在某些情况下长达9个月,如果患者无法坚持治疗方案,这可能会成为一个问题。

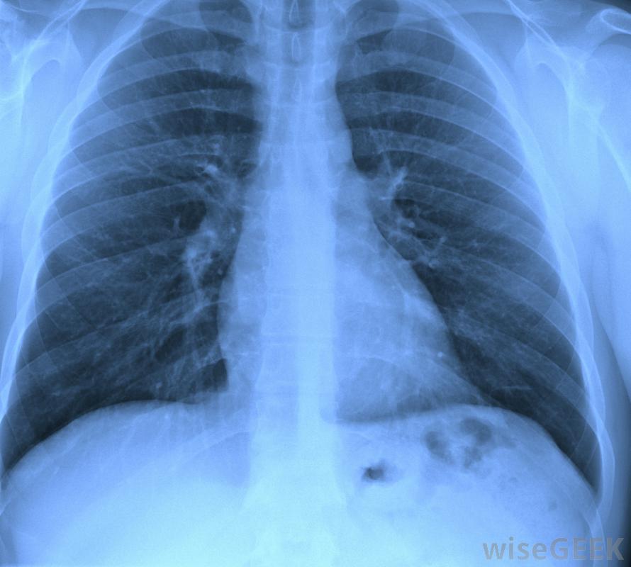
异烟肼与一种或多种药物联合使用时,对结核病最有效,如果病人有暴露的积极迹象,但肺部x光片清晰,结核病的异烟肼可用于积极的联合治疗,初期疗程短,以尽可能多地杀灭细菌。后续治疗可消除残留。在这一治疗过程中,患者需要定期检查以监测肝脏功能检查活动性肺结核正在发展的迹象,并评估其他副作用。活动性肺结核患者也可以使用异烟肼作为联合药物治疗的一部分对他们来说,这种药物可以杀死细菌来抑制感染,并有助于控制疾病的传播。在这种情况下,使用异烟肼治疗结核病的人也需要进行监测,以确保药物安全有效。如果他们出现副作用,其他药物也可以换成联合疗法,从一个新的角度对结核杆菌进行攻击。这是很重要的,要按照指示服用,这样它才能最有效。至少应该在饭前半小时或饭后两小时服用,这样身体才有时间充分吸收它。异烟肼治疗结核病不应与减少胃酸和刺激的药物同时服用,因为这些药物也会干扰吸收,降低药效。如果患者有严重的肝功能不全,患者可能无法服用药物,并且在使用时不应饮酒,因为这可能会损害肝脏。