肘部是肱骨、尺骨和桡骨这三块骨头连接在一起的地方。你的肘部必须允许你的手臂上下运动,同时也要让你的手臂翻转过来。任何一块或多块肘部骨折都会导致肘部骨折。为了治疗肘部骨折,你必须首先医生。如果骨头需要复位、...
肘部是肱骨、尺骨和桡骨这三块骨头连接在一起的地方。你的肘部必须允许你的手臂上下运动,同时也要让你的手臂翻转过来。任何一块或多块肘部骨折都会导致肘部骨折。为了治疗肘部骨折,你必须首先医生。如果骨头需要复位、移动或调整,他或她会帮你做。

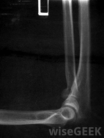
可能需要进行x光检查以确定肘部损伤的严重程度当你肘部骨折后去看医生,医生会给你做检查。在检查过程中,你可能要拍X光片,回答关于你受伤的问题以及受伤的原因,让医生测试你的手臂能移动多远。骨头完全断裂可能只需要夹板和休息。如果骨头严重受损或脱离正常位置,或者需要取出骨头碎片,手术可能是一个合适的治疗选择,医生会给你开什么样的治疗方案取决于你的年龄,你受到的损伤的类型,以及骨折后骨骼的位置

肘部骨折固定后通常采用物理疗法。除儿童外,通常不使用石膏治疗肘部骨折即使是儿童,骨折的最初几天也通常用夹板治疗。夹板就像石膏一样,只是它不能完全包裹住手臂。夹板通常是用石膏制成的,可以让手臂保持静止,这样骨头可以自行愈合。手臂愈合后,患者可能需要接受康复治疗才能恢复手臂的力量。

肘关节。应该肘部骨折包括开放性骨折或神经或血管需要修复时,医生可能会选择手术治疗。有时,这种骨折需要使用针、螺钉或钢板,为了使手臂能够正常愈合。针通常用于儿童,在骨头愈合后可以取出。螺钉和钢板通常用于较大的儿童和成人,如果有不适,可以通过手术移除在愈合过程中,骨骼保持静止是很重要的。结果是手臂在数周或数月内不动。在这种情况下,物理疗法或康复治疗可用于帮助患者恢复手臂的活动。康复包括使用不同的运动,以帮助患者尽可能恢复以前的运动量。医生应告诉您应进行哪种类型的运动以及何时可以进行这些运动

肘部骨折通常用夹板和吊索进行治疗,但有时也会使用石膏。