脊柱由33个椎骨组成,其中7个构成颈椎。椎间盘位于每一个椎骨之间,起缓冲作用,帮助吸收冲击。椎间盘由两层组成。外层是一种纤维化材料,称为环,内层是由较软的材料制成,被称为细胞核。颈部弥漫性膨出发生在环状撕裂,并且细胞...
脊柱由33个椎骨组成,其中7个构成颈椎。椎间盘位于每一个椎骨之间,起缓冲作用,帮助吸收冲击。椎间盘由两层组成。外层是一种纤维化材料,称为环,内层是由较软的材料制成,被称为细胞核。颈部弥漫性膨出发生在环状撕裂,并且细胞核的软质物质从椎间盘的大部分突出或突出。

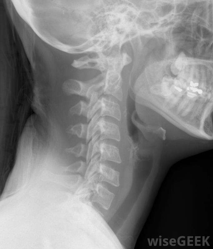
颈部的X光片,包括颈椎。并不是所有的颈部弥漫性隆起都会出现症状。但是,由于颈部隆起会压迫脊椎的神经,可能会出现各种症状。症状可能包括颈部疼痛,这种疼痛会辐射到肩部,手臂和手。人的手也可能有刺痛感或麻木感。

在某些情况下,颈部和肩关节的放射状突起可能是由于遗传原因造成的颈部突出和颈部突出腰椎间盘突出。跌倒、车祸或重物搬运对颈部区域造成的损伤可能会导致一些人的颈部出现弥漫性活动

对于椎间盘突出,有时建议行椎间盘切除术;t自行痊愈。医生在体检后做出诊断。医生会记录病史和运动范围。通常会对脊椎进行核磁共振检查,以确定脊柱的位置弥漫性颈部隆起。治疗将取决于症状的严重程度。

可以进行MRI扫描以确定弥漫性颈部隆起的位置如果症状较轻,非处方消炎药可能会有帮助,或者可以开类固醇。对于疼痛更严重的患者,硬膜外注射或类固醇注射可以减轻疼痛。其他治疗方法包括:,热疗和冰疗法。冰可以减轻炎症,热敷可以放松肌肉。建议进行物理疗法以提高柔韧性和伸展颈部。

硬膜外注射可帮助患有严重疼痛的患者弥漫性颈部隆起对于没有其他侵入性较小的方法帮助的人,手术可能是一种手段。一种被称为椎间盘切除术的程序可以被执行。这包括移除突出或压迫神经的椎间盘部分。

在某些人中,重物会导致颈部隆起可能不可能在所有情况下都能预防颈部弥漫性隆起,但是有一些方法可以降低风险。使用适当的举举举技术,例如弯曲膝盖,不要拉紧颈部肌肉可能会有帮助。保持健康的体重和定期的锻炼,可以加强整个脊椎,包括颈椎,可以保持椎间盘的健康。避免吸烟,因为吸烟会削弱椎间盘。

吸烟会削弱脊柱间盘,增加人患弥漫性颈膨出的风险。