起搏器导线,也叫导线,是一根细线,一端与设备的发电机相连,另一端与心脏相连。每个起搏器可能有两条或两条以上的导线连接到右心房和右心室,有时还连接到左心室。导线的一端有一个电极,电极与心脏相连,以获取心脏的自然电脉冲...
起搏器导线,也叫导线,是一根细线,一端与设备的发电机相连,另一端与心脏相连。每个起搏器可能有两条或两条以上的导线连接到右心房和右心室,有时还连接到左心室。导线的一端有一个电极,电极与心脏相连,以获取心脏的自然电脉冲并将这些信息发送回发生器。

心律失常的患者可能需要起搏器的帮助起搏器主要有三种类型。一种是用起搏器导线将发生器连接到右心室;另一种是将导线连接到右心室和心房,第三个将发生器连接到左心室和右心室以及右心房,使用哪种类型的起搏器取决于患者的情况以及哪种类型的起搏器是理想的。

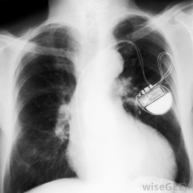
起搏器永久性地监测心房和心室的心脏节律。起搏器导线有几种形式,虽然大多数是由金属制成的,并具有某种绝缘涂层。有些采用螺旋式设计,而另一些则在一端有小尖头连接到机身上。电线可以是直的、窄的,或者是"J"形或类似形状,以便更有效地融入中庭许多起搏器使用一组导线来连接心脏的各个区域。具有旋入机制的导线在植入后能够很快保持原位。然而,那些带有尖齿的起搏器,通常更准确地定位心脏不规则。带有螺丝装置的导线更常见,但医生将最终判断每个患者需要哪种类型的起搏器导线。在放置过程中,起搏器导线插入胸部左上角的静脉,与放置起搏器的位置相同。医生通常使用透视镜(一种X光片)来观察导线穿过静脉并进入心脏的正确位置。这通常被认为是一种小手术,而且病人一般不需要全身麻醉。手术通常在诊所或医生办公室进行。起搏器导线发生故障的情况非常罕见,因为它们的设计相对简单。更常见的是起搏器口袋可能会发生感染,而且整个系统都会被更换。很少有特定型号的起搏器或导线会因为设计或功能错误而被召回。偶尔需要向医生咨询以确保设备正常工作。当电池电量不足时,每五到十年更换一次起搏器。