气胸是肺塌陷的正式医学术语。有时被称为自发性气胸,当空气聚集在周围的空间时,肺就会塌陷。这种潜在的严重情况的治疗可能包括给肺输氧和人工再充气 听诊器可用于识别气胸。有几种情况可能会导致肺部病变虚脱。包括胸...
气胸是肺塌陷的正式医学术语。有时被称为自发性气胸,当空气聚集在周围的空间时,肺就会塌陷。这种潜在的严重情况的治疗可能包括给肺输氧和人工再充气

听诊器可用于识别气胸。有几种情况可能会导致肺部病变虚脱。包括胸部创伤和肋骨骨折在内的损伤可能导致肺衰竭。某些习惯和活动可能导致肺衰竭,包括吸烟、潜水和飞行。被诊断患有某些肺疾病的人,如哮喘、肺结核和囊性纤维化,也可能出现肺衰竭。

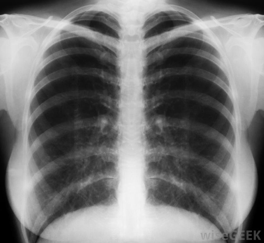
胸部x光片用于确认气胸的诊断当一个肺在没有任何已知原因的情况下塌陷时,它可以被称为自发性气胸。在某些情况下,肺组织内的一个小气囊,称为水泡,可能破裂。从这个破裂的囊中漏出的空气可能会泄漏到肺周围的空腔中。泄漏的空气经过一段时间的积累,可能导致部分或完全的肺塌陷,这取决于压迫它的空气量气胸患者可能会逐渐出现症状。与肺功能衰竭相关的常见症状包括呼吸急促和伴有咳嗽或深呼吸的剧烈胸痛。一些患者可能会在很少用力的情况下容易疲劳或出现心率加快。其他症状可能包括由于氧气不足,血压低,皮肤呈浅蓝色,以及胸闷的感觉。气胸通常可以通过听诊器辨认出来,因为呼吸音可能减弱或不存在。诊断测试可以用来确认气胸已经发生并评估其严重程度。可进行胸部X光检查,以确定受影响肺周围的空洞中是否有空气积聚。在某些情况下,可进行动脉血气分析(ABG)来测量血液中的二氧化碳和氧气水平肺塌陷的治疗取决于肺塌陷的程度和个人的整体健康状况。如果塌陷很小,可对其进行监测,并使其独立愈合。对肺塌陷程度较轻的患者,可给予补充氧气并指导其休息。可使用针头清除积聚在肺周围空间的空气,以减轻任何外部压力那些经历了接近完全性或完全性肺衰竭的患者可能需要放置胸腔导管来排出逸出的空气胸导管位于肺部附近的肋骨之间,可能会在几天内保持原位,需要延长住院时间。在胸腔导管促进受影响肺的重新扩张的同时,可以给予补充氧气。严重的气胸病例可能需要进行肺外科手术以纠正塌陷并防止未来复发。一个人的预后取决于肺衰竭的程度及其原因。那些有气胸病史或吸烟的人将来肺衰竭的风险会增加。与肺有关的并发症塌陷包括反复塌陷和休克。

水肺潜水员有气胸的风险。