结核病皮肤试验结果阳性并不一定表明某人患有活动性肺结核或具有传染性。通常,当一个人回来时,其皮肤试验呈阳性,需要额外的检查来确定是否存在活动性肺结核。额外的检查将包括胸部X光片和对他或她的症状的回顾。根据这...
结核病皮肤试验结果阳性并不一定表明某人患有活动性肺结核或具有传染性。通常,当一个人回来时,其皮肤试验呈阳性,需要额外的检查来确定是否存在活动性肺结核。额外的检查将包括胸部X光片和对他或她的症状的回顾。根据这些结果,可能需要进一步的检查和治疗。

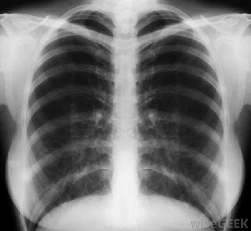
胸部x光片可帮助诊断肺结核了解肺结核(TB)皮肤测试结果呈阳性后会发生什么,了解什么是结核病测试非常重要。在PPD测试中,也称为mantoux测试,在皮肤下注射少量结核病抗原-结核菌素。注射后48到72小时检查注射部位,检查皮肤有无隆起区域,称为硬结。如果结核病皮肤试验呈阳性,这意味着病人对引起肺结核的细菌有反应,但并不一定意味着病人有症状或活动性疾病。

需要进一步的诊断在肺结核皮试呈阳性后。如果肺结核皮试结果呈阳性,则第一次检查通常是胸部X光片。X光片可以确定肺部是否有浸润或病变,这可能指示活动TB通常也会检查症状清单,以确定是否有结核病的症状,如体重减轻、咳血、发烧和盗汗。如果胸部X光检查正常,没有症状,通常不需要进一步检查

肺结核患者没有资格献血。在某些情况下,没有活动性肺结核但检测结果呈阳性的人,可能会服用药物。导致结核病的细菌会出现在皮肤测试呈阳性的人身上,但也可能处于休眠状态,为了预防这种细菌在将来变得活跃,可以使用药物预防结核病。

结核病是一种传染性疾病,可能会导致淋巴结肿大当胸部X光片显示有肺结核的迹象或出现症状时,一个人可能患有活动性肺结核,需要分析痰液样本以确认细菌的存在。病人也需要远离与其他人的密切接触,以防止疾病传播。如果有活动性肺结核,将给予抗生素药物治疗一旦一个人的肺结核皮肤测试呈阳性,他将来很可能会有阳性测试PPD皮肤测试是某些类型就业和入学的常规要求。对于有PPD皮肤测试阳性史的人,通常每年进行一次症状检查表。

活跃肺结核将用口服抗生素治疗一个疗程。