非典型肺炎与典型肺炎的区别在于,它的致病因子与一般预期的肺炎不同。许多类型的典型肺炎是由细菌感染如链球菌引起的。病毒、真菌感染、细菌或其他因素可导致非典型肺炎,严重程度各不相同。 医生可能会要求胸部x光片来...
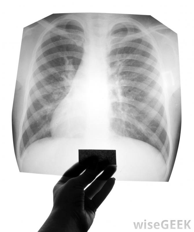
非典型肺炎与典型肺炎的区别在于,它的致病因子与一般预期的肺炎不同。许多类型的典型肺炎是由细菌感染如链球菌引起的。病毒、真菌感染、细菌或其他因素可导致非典型肺炎,严重程度各不相同。

医生可能会要求胸部x光片来诊断非典型肺炎确认非典型肺炎是病毒性的,或者他们只说由支原体引起的肺炎,有时称为行走性肺炎。虽然把支原体肺炎鉴定为非典型肺炎是正确的,在进行诊断时,还需要考虑许多其他类型的肺炎,包括由军团菌引起的严重肺炎,其他类型的肺炎是由肺炎克雷伯氏菌(一种寄生虫)、贝氏柯克西拉菌和土拉弗朗西斯菌引起的

呼吸系统。肺炎是肺部积液,可由多种原因引起最后一类微生物相对罕见,但支原体感染肯定不是,这就解释了为什么医学参考文献可能把支原体列为非典型肺炎的主要病因这样做可以排除潜在的其他原因。

高烧可能伴随非典型肺炎可能导致非典型肺炎的各种来源,症状表现可能有明显的范围。大多数人呼吸困难,咳嗽明显,有些人会发烧。白细胞的范围可能比典型肺炎低,通常接近正常水平。一个指示因素是对普通抗生素的反应往往很差,而且大多数人在青霉素等药物上不会有改善,有些人,尤其是那些有支原体的人,在没有药物治疗的情况下,可能会有所改善,或者在给予最适合对抗支原体的药物时,他们的反应会更好由于非典型肺炎可以包括非常严重的肺炎,治疗方法可能会有很大的不同。那些怀疑是由军团菌引起的肺炎需要不同的抗生素。尽管这种疾病很严重,许多人从抗生素中受益,并能从疾病中完全康复。与普遍的看法相反,这种疾病不可能在人与人之间传播,除非细菌能够污染水源并以雾状释放出来。这在大多数情况下不太可能发生任何肺炎的症状,如严重咳嗽、呼吸困难、高烧和筋疲力尽,都是真正的医学问题人们应该寻求医生的建议,他们可能会有一个身体检查和胸部x光片。在这个阶段是否诊断出非典型肺炎是一个变数。一个x光片显示肺部积液和正常的白血球可能是一个迹象有时,肺炎是非典型肺炎这一事实被忽略了,在这种情况下,患者应注意使用标准抗生素后症状的改善情况。另一方面,一些医生建议使用抗生素治疗典型的非典型肺炎。如果症状似乎没有改善,患者应毫不犹豫地联系医生。可能需要其他治疗。

非典型肺炎的症状包括咳嗽和呼吸困难。