胫骨应力性骨折发生在小腿肌肉前部的小腿骨上,是跑步者因过度使用而造成的骨骼损伤,这种情况在跑步者中很常见。其主要症状是胫骨疼痛,通常表现为逐渐加重的疼痛。其他症状包括沿胫骨的肿胀和小腿肌肉的压痛然而,疼痛通常...
胫骨应力性骨折发生在小腿肌肉前部的小腿骨上,是跑步者因过度使用而造成的骨骼损伤,这种情况在跑步者中很常见。其主要症状是胫骨疼痛,通常表现为逐渐加重的疼痛。其他症状包括沿胫骨的肿胀和小腿肌肉的压痛然而,疼痛通常在休息时不会发生,导致胫骨应力性骨折的因素有很多,如过度训练、营养不良,低水平的睾酮或雌激素。

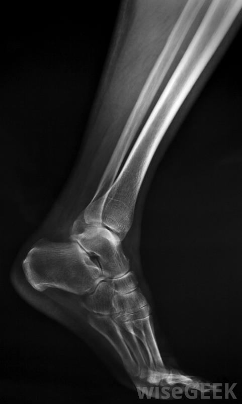
胫骨应力性骨折在跑步者中很常见。重复性胫骨过载和应力使其无法自然愈合并导致胫骨应力性骨折。由于反复的创伤,骨骼无法吸收冲击力,从而削弱了骨骼。诊断包括彻底的病史、体格检查和可能的骨骼扫描。X光通常不显示一种骨应力性骨折,尽管连续的X光片可以显示出骨骼试图愈合的部位。

X光片通常不会显示胫骨应力性骨折胫骨应力性骨折最常见的症状是胫骨下半部局部疼痛,与胫骨夹板疼痛相似它通常开始时是隐痛或轻微刺激,并随着持续使用腿部而逐渐加重,如步行、跑步或运动,疼痛逐渐加重。一般来说,胫骨疼痛在休息时消失,尽管情况严重,即使不使用腿也可以继续。在这种情况下,这种疼痛会严重到使人无法行走。胫骨应力性骨折的另一个症状是由于肌肉、肌腱发炎而沿胫骨肿胀,以及骨骼周围的组织。胫骨受到挤压时可能会受伤或骨折部位出现肌肉压痛。在某些情况下,胫骨应力性骨折也可能导致小腿疼痛或膝关节疼痛。有几种因素会导致胫骨应力性骨折的疼痛和其他症状。过度训练,如进行强度过大或过大的运动量,都会导致疼痛重复性压力导致胫骨损伤。营养不良和钙镁缺乏会导致骨骼健康状况不佳,并增加压力性骨折的风险。低水平的睾酮或雌激素也是危险因素,以及长期使用某些药物,如类固醇胫骨疼痛是胫骨应力性骨折最常见的症状。