脚趾肿胀可能是由外伤、身体劳损或潜在的医疗状况引起的。钝性创伤后骨折或韧带和肌腱瘀伤通常会导致脚趾肿胀。肌腱炎和肌肉炎症经常影响运动员和腿部运动的人。其他可能的身体问题导致脚趾肿大包括痛风,感染,过敏反应...
脚趾肿胀可能是由外伤、身体劳损或潜在的医疗状况引起的。钝性创伤后骨折或韧带和肌腱瘀伤通常会导致脚趾肿胀。肌腱炎和肌肉炎症经常影响运动员和腿部运动的人。其他可能的身体问题导致脚趾肿大包括痛风,感染,过敏反应,血栓,一些类型的脚趾肿胀可能是由于不合脚的鞋子或环境刺激物引起的。

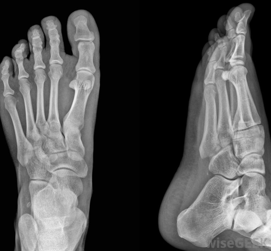
脚趾肿胀限制了行动能力,可能需要去看足病医生当重物落在脚趾上,或在体育活动中脚与物体相撞时,通常会发生脚趾外伤。骨折和瘀伤会导致脚趾肿胀,x光片通常用于确定损伤的严重程度。当创伤导致脚趾弯曲或伸展时,韧带拉伤也可能导致肿胀src="/img/0726/x-ray-of-feet.jpg"/>脚趾骨折会导致脚趾肿胀。那些体力活动的人可能会逐渐拉紧脚趾,尤其是当他们在运动前没有适当伸展,或者运动过度时逐渐紧张引起的脚趾肿胀可能不会立即明显,而且在肿胀出现之前,损伤可能会很严重和疼痛,可能导致视觉浮肿和疼痛,也可能对位于组织和骨骼之间的液体袋造成创伤。脚趾关节也可能肿胀并变得触痛。

可以使用x光检查脚趾头肿胀。脚趾头肿胀不能归因于身体损伤或劳损,这可能是一种疾病的结果。肿胀的脚趾通常与痛风有关,尿酸过多在关节和肌腱中结晶,导致脚趾肿胀、发红、摸起来很烫的情况。其他医学原因包括关节炎、感染和血凝块。医生可以从受影响的关节提取液体来确定病因,这种情况下的肿胀通常可以通过药物或手术治愈或控制。

肌腱炎或肌肉炎症可能是导致脚趾肿胀的原因有时常见的刺激物-例如过敏原、炎热的天气和限制性的鞋子-会导致脚趾肿胀。过敏可以通过药物治疗或避免触发因素来控制那些脚趾肿胀而没有医学解释的人通常会被建议穿宽松的袜子和鞋子,并且尽可能的赤脚。骨科医生或足科医生可以推荐特殊的袜子和鞋子,以减少肿胀和促进血液循环感染的脚趾很可能会变大。

痛风是导致脚趾肿胀的常见原因。