人体产生粘液是因为这种物质具有防止和抵抗感染的特性。人体还将其用作某些生殖功能的催化剂和润滑剂。这种水基液体含有碳水化合物、盐和蛋白质,所有这些都是多器官系统所需要的。初级蛋白质被包裹在一种糖类物质中,使...
人体产生粘液是因为这种物质具有防止和抵抗感染的特性。人体还将其用作某些生殖功能的催化剂和润滑剂。这种水基液体含有碳水化合物、盐和蛋白质,所有这些都是多器官系统所需要的。初级蛋白质被包裹在一种糖类物质中,使它们能够吸收大量的水分,一些蛋白质是抗体,当发现外来入侵者时,会启动人体的免疫系统。其他一些蛋白质是防腐酶,一旦入侵者接触到痰,就会杀死它

咳嗽有助于排出粘液。平均每天,人体产生的粘液超过4杯(1升)。大部分粘液是由呼吸系统,它有多种用途。当空气进入鼻道时,粘液会截留较大的颗粒物,从而堵塞狭窄的呼吸道。如果被困在痰中的任何颗粒物是致病性的,那么防腐剂和抗生素的作用就是杀死细菌、病毒,或者真菌。它也有助于滋润吸入的空气,它能防止人体内的膜因呼吸而干燥。

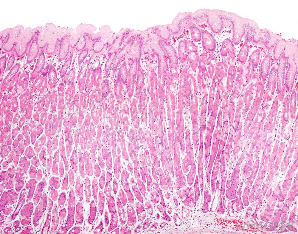
胃壁细胞产生粘液,保护胃免受酸侵蚀粘液也是人体最丰富的润滑剂。当颗粒在呼吸过程中被截留后,身体通过称为纤毛的细小移动的毛发将润滑的物质推向胃。在胃中,酸可以完成杀死任何可能感染健康细胞的病原体的过程。消化系统中的细胞也会产生大量的粘液,这些粘液被用作润滑剂,帮助食物通过食道。胃的内壁也需要一层润滑剂,因为酸性物质虽然有助于杀死感染性微粒,但如果没有得到充分的保护,它也会吞噬形成内膜的细胞。女性生殖系统依靠粘液来帮助调节其周期。在排卵期间,产生的物质清澈流淌,水性润滑剂有利于精子的接收和受精,排卵后,它变得更厚,这种物质还含有更多的抗生素蛋白质,可以阻止精子从阴道走得更远,阻止受精:男性生殖系统通过精囊与精液结合产生精子,这种粘液含有碳水化合物和糖类,在精子生命周期中为精子提供营养。