什么是肺囊肿(Pulmonary Cyst)?

肺囊肿是在一个肺内发现的一种不正常的组织肿块。在大多数情况下,这种肿块是良性的,通常不会引起任何明显的症状。当诊断出肺囊肿时,它通常是由于其他疾病或问题的常规检查结果。偶尔,囊肿可能会恶性的,或癌性的。吸烟、接...
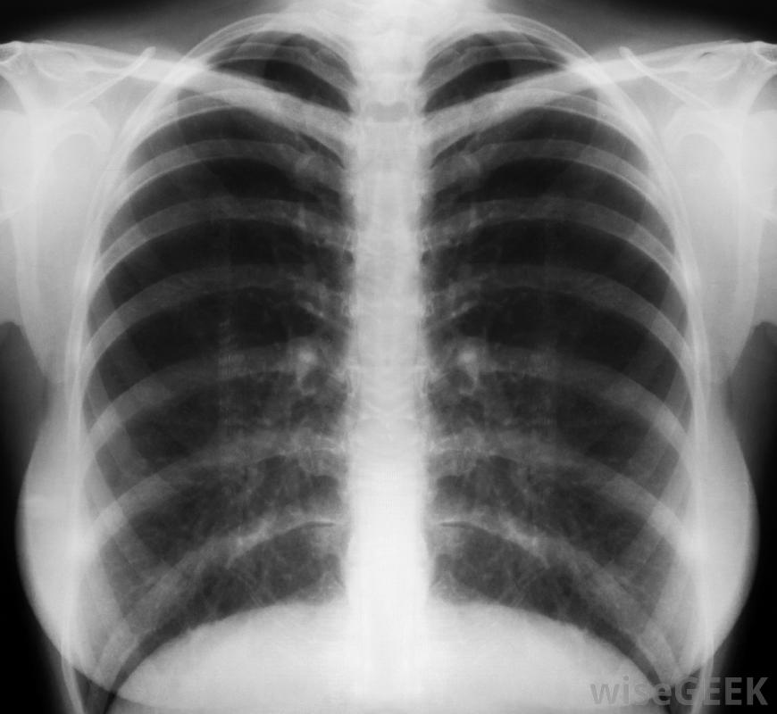
肺囊肿是在一个肺内发现的一种不正常的组织肿块。在大多数情况下,这种肿块是良性的,通常不会引起任何明显的症状。当诊断出肺囊肿时,它通常是由于其他疾病或问题的常规检查结果。偶尔,囊肿可能会恶性的,或癌性的。吸烟、接触环境毒素或既往有癌症病史可能增加囊肿恶性的风险。有时需要对肺囊肿进行活检肺囊肿的出现通常与任何影响肺部的疾病或疾病无关。在大多数情况下,引起这种肿块的确切原因并不清楚通常是良性的,大多数患者没有任何症状,可能完全不知道异常病变,除非诊断测试,如x射线或肺部超声波检查,因为其他原因定期胸部x光检查有助于监测肺囊肿是否有任何变化。在发现肺囊肿后,主管医生可能会要求进行额外的检查,以确保病变没有癌变血液检查通常是为了检查体内癌症时常见的异常情况,为了监测肺囊肿是否有任何变化,如体积增大,可定期进行胸部x光检查在肺活检过程中,可能需要一个小的活检针,在一些病例中被称为肺活检术中的一个小的活检针的大小从囊肿中取出,连同周围的一些组织。这些组织样本被送到外面的实验室做进一步的检查。肺囊肿变得恶性是相对少见的,虽然某些危险因素可能增加结节癌变的几率,但暴露于环境毒素、吸烟和既往癌症史是最常见的危险因素。如果囊肿被确定为良性,则可能不需要治疗,虽然有些医生可能会选择切除病灶以避免其变为恶性,但癌性病变可手术切除或用化疗或放疗治疗。肺癌性肺损伤可以用化疗治疗。
  • 发表于 2020-07-25 03:25
  • 阅读 ( 728 )
  • 分类:医疗卫生

你可能感兴趣的文章

相关问题

0 条评论

请先 登录 后评论
admin
admin

0 篇文章

作家榜 »

  1. xiaonan123 189 文章
  2. 汤依妹儿 97 文章
  3. luogf229 46 文章
  4. jy02406749 45 文章
  5. 小凡 34 文章
  6. Daisy萌 32 文章
  7. 我的QQ3117863681 24 文章
  8. 华志健 23 文章

推荐文章

联系我们:uytrv@hotmail.com 问答工具