磁共振成像(MRI)是一种医学诊断技术,它利用强磁场获得患者身体内部的图像。无对比度的MRI通常被称为标准的MRI扫描,不需要向体内注射任何药物或造影剂。增强磁共振成像包括注射造影剂以提高图像的灵敏度。无对比度的核磁...
磁共振成像(MRI)是一种医学诊断技术,它利用强磁场获得患者身体内部的图像。无对比度的MRI通常被称为标准的MRI扫描,不需要向体内注射任何药物或造影剂。增强磁共振成像包括注射造影剂以提高图像的灵敏度。无对比度的核磁共振成像适合大多数情况,只要不需要额外的细节。

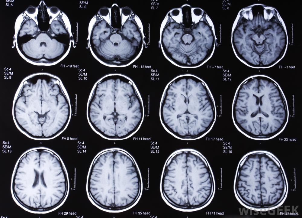
无对比度的脑部核磁共振扫描核磁共振成像机利用人体内粒子的磁特性来形成图像。核磁共振扫描是医生可用的最详细的诊断成像形式之一。核磁共振扫描的好处是不需要使用电离辐射,可能会对患者造成潜在伤害,尽管机器的制造和维护成本高昂。

大多数核磁共振检查都是在没有对比的情况下进行的标准的核磁共振扫描被称为无对比剂的核磁共振成像。这意味着磁共振成像机可以对所需区域进行成像,而无需将造影剂注入人体。在大多数情况下,除非受影响的区域很小或很难看到,否则无对比度的核磁共振成像是检查身体内部问题所必需的

带对比度的MRI可以帮助医生测量小肿瘤,以确定治疗是否正常。无对比度的MRI可用于身体大部分部位。一些最常见的部位需要核磁共振扫描包括大脑和脊髓。关节也经常被扫描以发现损伤的软骨和撕裂的韧带。

核磁共振机器利用体内粒子的磁性来做一个图像。在接受检查之前,病人通常被要求提前半小时到达。这样放射科医生就可以通过核磁共振来讨论潜在的问题,例如,如果病人有金属植入物,一旦使用了核磁共振仪,病人在扫描时必须避免移动。核磁共振成像需要大量的图像,而且图像必须清晰,这就是为什么保持静止很重要的原因

无对比度的MRI扫描提供了非常详细的信息,尽管机器的制造和维护成本很高在某些情况下,医生可能需要使用增强磁共振成像(MRI)来更详细地观察身体的某个特定区域。这需要在扫描过程中通过单次注射或静脉滴注将对比剂"染料"注射到身体内。对比剂的目的是识别体内的任何活动性问题为了提高图像的灵敏度,通常使用无对比度的MRIs来获得大脑或脊髓的精确图像

如果怀疑脊髓损伤,通常需要进行MRI检查。