骨头,很像房子的木制框架,在支撑和保护身体内部的软组织和器官的同时,定义和塑造身体的形状。由于这些特殊的细胞集合以特定的方式排列,它们形成了一种坚硬的形式,使身体的每个部分都能单独移动,并与身体的其他部分相结合损...
骨头,很像房子的木制框架,在支撑和保护身体内部的软组织和器官的同时,定义和塑造身体的形状。由于这些特殊的细胞集合以特定的方式排列,它们形成了一种坚硬的形式,使身体的每个部分都能单独移动,并与身体的其他部分相结合损伤发生时会破坏结构或稳定性,如骨折或连续性断裂,需要采取措施恢复其统一性。腓骨板是一种特殊的金属支架,连接在腓骨上,腓骨是小腿长骨之一,当骨骼的完整性严重受损时。

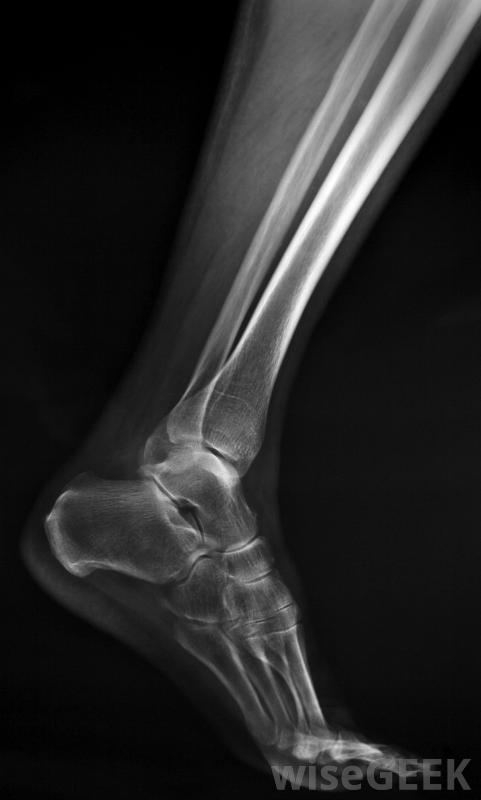
腓骨比胫骨更薄、更脆弱。
腓骨也被称为小腿骨之一,位于侧面或小腿外侧。这又长又细的骨头钩在胫骨上,从膝盖下一直延伸到脚踝。它与较重的邻近胫骨的连接方式使这两块骨头看起来像一个钩子或安全别针。虽然胫骨承受着身体的重量,并且在某种程度上独立于腓骨,但较粗的骨头发生骨折可能会同时损伤腓骨。腓骨不能承受重量,固定腓骨板可为该骨提供必要的额外支撑,以确保正常愈合。

放置腓骨板后,将对腿部应用石膏。
如果骨骼的"固定"不正确,骨骼稳定性的破坏会导致持续的、可能是永久性的疼痛和功能障碍在许多闭合性骨折的病例中,碎骨不能穿透皮肤,在负重限制的情况下,应用石膏几个星期可以使骨头愈合。腓骨这样的骨头附着在更坚固的骨头上,不承受重量,外科植入腓骨板有助于保持骨的位置,同时将骨折端固定在一起,以提高正常愈合的机会。

通常需要在腓骨板固定后的几周内进行铸造和休息放置。
腓骨钢板的放置取决于骨折的位置和严重程度。换句话说,整个腓骨或仅部分腓骨可能涉及电镀技术。用于腓骨板的薄金属条与骨平行放置,并直接拧入骨中。然后在腿外侧放置石膏几个星期,以确保腿保持不动。在许多情况下,腓骨板即使在完全愈合后仍然与骨头挂钩。

一些腿部骨折可能需要钢板、螺钉或杆,以确保它们能够正确对齐愈合。