软组织移植是一种牙科手术,可以为牙龈退缩的人进行。组织取自口腔的另一个区域,然后敷在暴露的牙根上。这个程序可以在牙龈线需要加强的所有区域进行。 软组织移植可以在牙龈的任何部分进行。 问题。牙齿可能会变得松动...
软组织移植是一种牙科手术,可以为牙龈退缩的人进行。组织取自口腔的另一个区域,然后敷在暴露的牙根上。这个程序可以在牙龈线需要加强的所有区域进行。

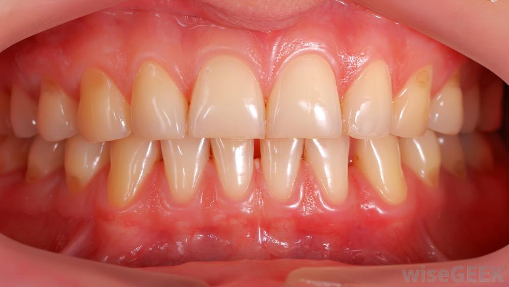
软组织移植可以在牙龈的任何部分进行。
问题。牙齿可能会变得松动和敏感,严重的情况下甚至会在失去保护层的区域周围出现骨质流失。这可能是由多种原因造成的,包括刷牙太用力,牙龈组织自然变薄,或者牙周炎等牙周疾病。软组织移植可以帮助修复损伤并阻止进一步衰退,无论什么原因。

饮食失调如暴食症可能导致牙龈萎缩,需要软组织移植。
有几种不同类型的软组织移植,都是通过组织的来源来确定的,以便修复牙龈。在结缔组织移植中,将组织从个体口腔顶部取出,将口腔表层剥离,从下方切下结缔组织,然后贴在牙龈线上并固定到位。另外,有时也可以使用口腔顶部的表层组织;这被称为游离牙龈移植。

过度或剧烈刷牙会导致牙龈退缩
在某些情况下,可能只有一颗牙齿附近出现牙龈线退行的情况。这可能意味着可以从附近的牙齿上取下组织并将其分离,覆盖原牙的根部和受损的牙龈组织。称为椎弓根移植物,这是一种最不常见但最成功的方法,因为牙龈和组织之间的连接保持完好,如果口腔中没有足够的组织覆盖暴露的牙齿,也可以选择使用合成组织;这种类型的软组织移植通常是最后的手段。

软组织移植后通常会使用保护性密封,以保持牙齿卫生。
软组织移植需要数周时间才能完全愈合。由于口腔是一个经常潮湿的区域,因此通常会在移植部位和切除软组织的区域盖上保护性封条。牙齿卫生通常可以照常进行,如果这种情况是由于刷牙太硬而造成的,医学专业人员通常会给出如何防止衰退再次发生的个别指导方针。如果是这样,通常可以多次进行软组织移植。

牙龈可能消退做软组织移植的理由。