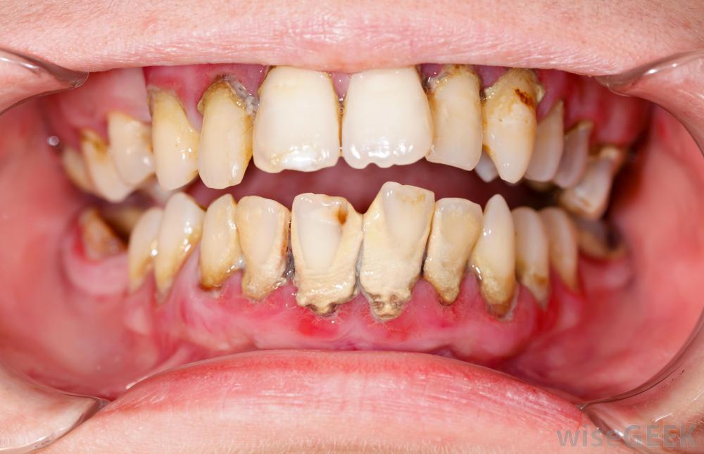
牙清创术是一种更广泛的牙齿清洁方法,旨在清除过多的牙垢和牙菌斑。该程序由牙医或牙科保健师执行,当人们在家里的牙齿护理非常疏忽,没有定期清洁牙齿时,通常是必要的。当牙齿护理非常松懈时,为了让牙医对蛀牙和牙齿的健康...
牙清创术是一种更广泛的牙齿清洁方法,旨在清除过多的牙垢和牙菌斑。该程序由牙医或牙科保健师执行,当人们在家里的牙齿护理非常疏忽,没有定期清洁牙齿时,通常是必要的。当牙齿护理非常松懈时,为了让牙医对蛀牙和牙齿的健康状况进行全面评估,可能还需要清创术。大约需要一到两个小时,这项手术使用除垢器和超声波水工具来侵蚀牙垢和牙菌斑。许多接受这种牙科手术的人都会接受局部麻醉或镇静。

清创后可以评估牙齿和牙龈的真实健康。
清创术是用一种叫做刮除器的刮削工具尽可能多地去除牙菌斑和牙垢。洁牙后,用高功率的水和超声波工具进一步清洁牙齿,这种工具可以冲洗掉松散的表面污垢。有时,如果水工具留下可见的牙菌斑,牙齿将再次被刮伤。根据牙齿护理的失职程度,手术可能需要一到两个小时。

口腔清创可以帮助牙医确定患者是否需要额外的口腔健康干预措施,如根管。
牙齿清创后,患者会得到关于如何建立良好家庭护理的详细说明,通常要求患者在一周内返回办公室进行完整的牙齿评估一旦牙齿和牙龈从清创术中恢复,就可以评估牙齿和组织的真实健康状况。有些患者需要进行牙周治疗,进一步刮除牙垢,甚至进行牙根计划,以完全恢复牙齿健康。

持证牙科保健师能够进行牙齿清创。
在此牙科手术过程中,牙垢和牙菌斑需要从牙龈线上完全清除。这可能会导致刺激,轻微的持续疼痛,可能导致牙龈感染。如果患者发现任何感染迹象,包括肿胀,牙龈过度疼痛或发烧。牙齿在清创术后也可能对冷热有暂时的敏感性。这种敏感性可以通过使用脱敏牙膏来缓解。

脱敏牙膏可以在牙齿清创程序后使用。
镇静剂经常被推荐,原因如下:,对于正在进行牙齿清创术的人来说,病人忽视牙齿的主要原因之一是害怕牙医。镇静可以帮助减轻这种焦虑。这个过程也常常是不舒服和乏味的。牙科镇静剂或局部麻醉剂可以使这个过程对病人更容易,并确保这个过程可以彻底完成。

牙医可能需要进行牙齿清创来评估蛀牙情况。

有些人因为害怕牙医而忽视牙齿

预防蛀牙的最佳方法是定期刷牙和使用牙线。