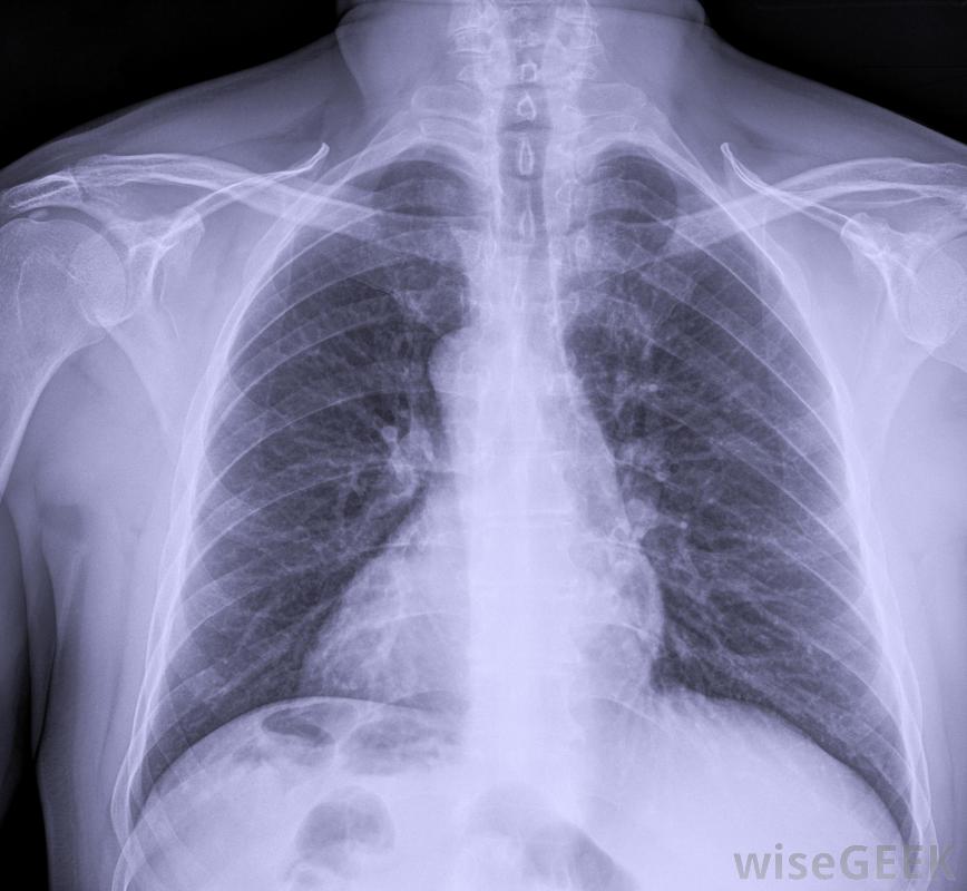
首字母缩略词PICC代表外周插入中心导管。这是一种细长的导管,通常插入位于上臂的静脉中。然后导管向前推进,直到尖端在靠近心脏的胸部的静脉中终止。PICC线用于静脉输液和药物的管理。 在使用PICC之前,将进行胸部X光检查...
首字母缩略词PICC代表外周插入中心导管。这是一种细长的导管,通常插入位于上臂的静脉内。然后将导管推进,直到尖端在靠近心脏的胸部静脉中终止。PICC线用于静脉输液和药物的管理。

将进行胸部X光检查,以确保PICC管线正确放置在使用前,
这些类型的静脉输液管可以由受过专门训练的护士、放射科医生或医师助理插入。此操作通常在无菌条件下在床边进行。在放置PICC线后,超声波用于显示上臂的大静脉放置,在使用该线之前,应进行胸部x光检查以确认放置位置是否正确。

PICC线既可用于服用抗生素,也可用于抽血。
患者需要PICC线的原因有很多,有些患者可能需要长期使用化疗或抗生素。这些外周插入的中心导管可在原位停留数月,这使其成为长期使用的理想选择。

医生可以插入PICC线路;这是一种通过静脉给身体提供所需的维生素和营养的方法。高营养素通常用于肠道疾病和不能进食的人许多情况下,对高营养素的需求将持续数月

高营养是患者可能需要PICC线路的原因之一,通常用于肠道疾病患者。
这种外周插入的中心导管也可用于有出血障碍的患者。这些患者通常需要长期服用血液或血液制品。这些输液可以通过PICC线轻松地进行。另一种这种中心导管的优点是能够从管道中抽取血液。这将避免患者多次被卡在血样中。

PICC管路用于静脉输液。
与任何类型的侵入性操作一样,插入这种类型的线有风险。插入时可能发生空气栓塞,这可能导致患者头晕和呼吸短促。感染是一种风险,因为皮肤上有一个细菌进入的开口。插入时可能会造成神经损伤或刺激;这可能会导致枪击手臂疼痛或四肢无力。

有些端口完全位于皮肤下,当导管尖端在心脏上方终止。
使用外周插入的中心导管,血栓或血凝块的形成可能性很小。这种血凝块可以在导管内形成,也可以在静脉内形成。如果导管堵塞,护士可以在导管内注射一种特殊的药物有助于溶解血块。一旦溶解,管道应易于冲洗。

超声波机用于显示PICC管线上臂的大静脉
一旦对PICC线路的需求结束,就可以很容易地将其拆除。这可以由护士或其他经过适当培训的医疗人员来完成。一旦拆除了PICC线路,测量长度以与插入长度进行比较。这将确认所有的线都被移除。

在某些患者中,由于血液凝块或手臂静脉的问题,PICC线可能被放置在胸部。