空气石膏是一种医疗器械,它将愈合的身体部分包裹在一个缓冲的外壳中,减少疼痛并促进愈合。通常,它由两个基本组件组成,一个充气夹板,周围有一个硬化的外壳。与传统的硬石膏或玻璃纤维铸模不同,空气浇铸可以被移除清洗,为了舒...
空气石膏是一种医疗器械,它将愈合的身体部分包裹在一个缓冲的外壳中,减少疼痛并促进愈合。通常,它由两个基本组件组成,一个充气夹板,周围有一个硬化的外壳。与传统的硬石膏或玻璃纤维铸模不同,空气浇铸可以被移除清洗,为了舒适和方便,在整体刚度上进行权衡。

空气浇铸靴采用标准鞋号制成,以使其适合患者。
,以及骨折的恢复。自诞生以来,它们几乎没有什么变化,而且仍然几乎只用于手、腕、脚和小腿的损伤。它们内部充气的膀胱可以通过嘴或泵充气,达到所需的缓冲水平,硬塑料外部框架被拧紧,通常使用金属或塑料Velcro®紧固件固定到位。

一般采用小、中、大规格生产。
与硬石膏一样,气动石膏试图通过减少潜在冲击的冲击来促进愈合,同时保持骨骼和关节处于特定位置,以便它们能够正常愈合。虽然不像硬石膏那样根据每个患者定制,但这些材料在不同的大小,所以舒适的适合应该可以在几乎所有的情况下实现。空气靴是在鞋的大小,使正确的适合更容易确定。手腕石膏一般是生产小,中,以及大规格。

空气喷射的人可能需要拐杖来帮助他们行走
除了增加舒适性外,使用空气石膏还有助于避免硬石膏带来的一些负面影响。由于硬石膏不可拆卸,长时间佩戴硬石膏通常会导致轻微到中度的皮肤病问题。除了未清洗的皮肤干燥和结垢、皮炎、溃疡外,而且皮疹在戴硬石膏的病人中并不少见,玻璃纤维和石膏铸型也很重,而且在身体上很笨重,而空气铸型除了坚硬的外壳外,大部分都是空心的,不同于传统的打火机,打火机更容易移动,气铸靴可以拆下。
根据身体部位和损伤的严重程度,穿风衣的典型处方也会有所不同。轻度到中度扭伤,甚至一些轻微的骨折,可能只需要几天或几周的限制和保护。在更严重的情况下,例如,当负重骨(如胫骨)断裂时,最初阶段仍需使用硬石膏。之后,可在剩余的愈合过程中使用空气浇铸。根据愈合状态,患者可能会走路,有时甚至可以开车,佩戴气模。

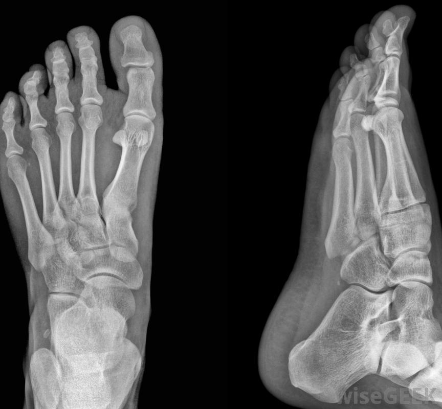
气枪用于稳定骨折,可通过x光片确认。

硬石膏可能导致腿部溃疡和其他皮肤状况,使用空气浇铸可以避免。

在某些情况下,在使用空气浇铸之前,必须对患者进行数周的浇铸。