冠状病毒属冠状病毒科,是一类与普通感冒和其他更严重的疾病有关的动物病毒,如肺炎和严重急性呼吸综合征(SARS)。由于变异,某些冠状病毒具有极强的传染性和潜在的致命性为了进一步诊断病毒的严重性,需要对其进行进一步的研究...
冠状病毒属冠状病毒科,是一类与普通感冒和其他更严重的疾病有关的动物病毒,如肺炎和严重急性呼吸综合征(SARS)。由于变异,某些冠状病毒具有极强的传染性和潜在的致命性为了进一步诊断病毒的严重性,需要对其进行进一步的研究以帮助其进一步诊断宿主。冠状病毒由蛋白质组成,其结构由尖峰、核衣壳、包膜和膜组成。糖蛋白的存在促进了病毒与宿主细胞结合并发生变异的能力。有人认为病毒的变异能力使其具有传染性。再感染是另一个原因儿童呼吸道感染与病毒性支气管炎相关冬季月份。
当冠状病毒在冬季和早春活跃时,它被认为是导致大多数普通感冒病例的罪魁祸首。这种病毒变异和再感染的能力在寒冷季节最为明显,那时感冒患者病情可能好转,然后再感染第二次和第三次同样的感冒。认真防止病菌传播对于打破普通感冒的潜在周期性至关重要。

严重的冠状病毒患者可以使用氧气
人类冠状病毒(HCoV)是冠状病毒家族中的一个次级病毒群。研究表明,HCoV在呼吸道疾病的发展中起着重要作用。HCoV被证明是引起支气管炎、细支气管炎和肺炎等疾病的唯一原因。

发烧是人类冠状病毒引起的呼吸道疾病的常见症状。
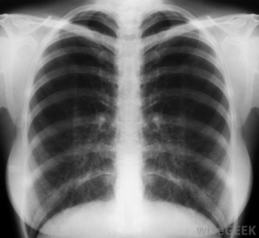
,毛细支气管炎是支气管内膜的炎症,细支气管炎是细支气管或肺部小通道的炎症。这种病毒感染在秋季和冬季会影响儿童和婴儿。虽然通常不需要治疗,但在孩子病情严重的情况下,可以服用抗病毒药物。患有毛细支气管炎的儿童可能会出现发烧、喘息或呼吸急促的症状。通常通过检测患儿的鼻液和进行胸部x光检查来确认诊断。
与其他呼吸系统疾病一样,肺炎是由肺部炎症引起的。呼吸急促、发热和咳嗽等症状都可以作为肺炎的征兆。诊断可通过多种检查来进行,包括全血细胞计数(CBC)、胸部CT扫描和痰培养试验,严重咳嗽时排出的粘液样物质。一些肺炎需要住院治疗,而较轻的病例可能只需要使用抗生素。
严重急性呼吸综合征(SARS)是一种严重的肺炎,可导致急性呼吸窘迫。可能致命,SARS是一种传染性很强的疾病,2003年初,世界卫生组织(WHO)的一位医生首次描述了这种疾病,后来他死于这种疾病患有非典型肺炎的人咳嗽或打喷嚏时会向空气中释放污染物。这些被污染的飞沫是主要的传播媒介。在接触到病人或受污染的物体后的两到十天内,症状就会显现出来。
SARS患者可能会出现呕吐等症状,腹泻、流鼻涕和喉咙痛。用于诊断SARS的检查包括胸部CT扫描、全血细胞计数(CBC)和胸部x光片。SARS的治疗包括隔离住院、使用抗生素和抗病毒药物以及类固醇以减少肺部炎症。严重者,除了机械通气或人工呼吸支持外,还可使用氧气。与SARS相关的并发症包括呼吸、心脏和,呼吸急促是冠状病毒引起肺炎的指标。