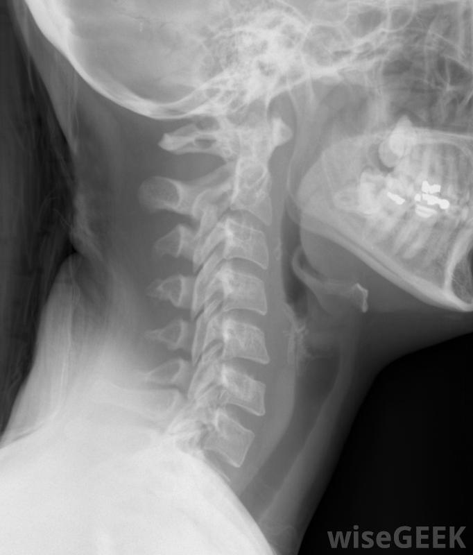
当骨头偏离正常位置时,称为半脱位。颈椎半脱位发生在颈部区域的脊椎或脊椎骨排列改变时。这种错位的骨头会对周围区域造成异常的张力,包括软组织和神经颈部(包括颈椎)的X光片。对内部结构(如肌肉、肌腱)施加的压力,颈椎半脱...
当骨头偏离正常位置时,称为半脱位。颈椎半脱位发生在颈部区域的脊椎或脊椎骨排列改变时。这种错位的骨头会对周围区域造成异常的张力,包括软组织和神经颈部(包括颈椎)的X光片。对内部结构(如肌肉、肌腱)施加的压力,颈椎半脱位引起的韧带也会引起疼痛,轻微的排列改变会引起疼痛,疼痛的范围从疼痛、压痛到紧绷,更严重的颈椎骨移位也会导致运动障碍。运动困难可能局限于颈部或全身

颈椎半脱位发生在颈部区域的脊椎骨排列改变时。轻度颈椎半脱位可能是由不良的姿势或日常活动的身体力学引起的。例如,由于不恰当的举举技术而使颈部过度劳累,也会使颈椎脱臼。当一根错位的骨头压在神经上时,疼痛会辐射或蔓延到整个颈部,肩部和头部区域。疼痛也可能包括不规则的感觉,如刺痛或刺痛感。该区域也可能会感到睡着或死亡

脊髓损伤可导致颈部半脱位,脊髓或脊髓损伤也可导致颈部半脱位偏头痛是指上背部和肩部疼痛或感觉不规则的问题。骨骼排列的改变也可能是由诸如跌倒或车祸之类的损伤引起的。根据受伤的部位和严重程度,可能导致身体部分或完全瘫痪

当骨头偏离正常位置时,就会发生半脱位。如果颈部明显半脱位,靠近躯干会导致截瘫或截瘫部分瘫痪。这些半脱位通常是由损伤引起的,这可能导致神经损伤和脊髓损伤。截瘫的症状包括下半身感觉减退或丧失,也可能导致双腿不能活动。不能活动也可能延伸到下半身或躯干区域

强化物理治疗可帮助因严重颈椎半脱位而部分瘫痪的患者恢复力量和活动能力如果类似的损伤发生在靠近头部的地方,它会导致整个身体的感觉异常和瘫痪。这种被称为四肢瘫痪的损伤,可能是完全性的,也可能是不完全的。完全性损伤意味着运动能力的丧失是永久性的。当损伤不完全时,受影响的区域可能有一些活动的能力该区域也可能有一些感觉。由于不完全的颈椎半脱位导致脊髓损伤,在炎症过程减轻后,身体有可能完全或部分恢复。

a颈椎半脱位可能是偏头痛的病因。