踝关节和足部疼痛是由多种因素引起的。踝关节不适通常是由踝关节受伤或足部受伤(如扭伤或骨折)引起的。关节炎是踝关节或足部疼痛的另一个生产者。跖骨痛,足部疼痛的医学术语,也可能是由踝关节或脚的肌腱退化引起的。最后...
踝关节和足部疼痛是由多种因素引起的。踝关节不适通常是由踝关节受伤或足部受伤(如扭伤或骨折)引起的。关节炎是踝关节或足部疼痛的另一个生产者。跖骨痛,足部疼痛的医学术语,也可能是由踝关节或脚的肌腱退化引起的。最后,穿不合脚的鞋子会导致脚踝和脚部疼痛。

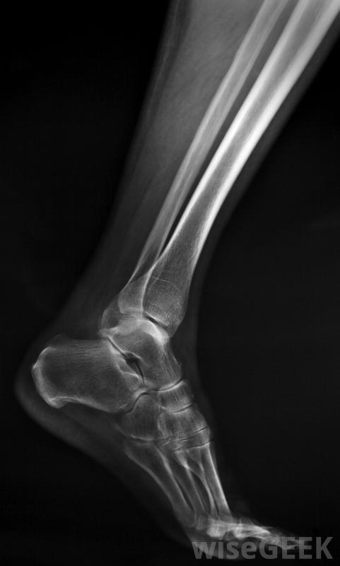
X光片可用于确定患者是否有脚踝骨折或扭伤踝关节疼痛是踝关节外伤的自然结果。当脚扭伤或扭伤时,可能会发生踝关节扭伤。从本质上讲,扭伤的脚踝是对控制踝关节运动的韧带的损伤。如果这些韧带被拉伸到扭伤和扭伤是导致踝关节疼痛的常见原因区分踝关节扭伤和踝关节骨折对于确定疼痛的原因很重要。踝关节长时间疼痛和肿胀通常表明骨折。当胫骨骨折时,踝关节骨折或者腓骨骨折踝关节骨折伴有瘀伤、肿胀和疼痛的症状,导致骨折仅被误认为是扭伤,踝关节骨折的修复需要手术和石膏关节炎是导致踝关节和足部疼痛的另一个常见原因。当踝关节磨损或受损时,会导致炎症或感染。通常情况下,运动员和体重过重的人会发展成关节炎,因为他们会使关节承受更大的压力。关节炎会导致脚失去稳定性,患者关节炎的症状包括踝关节和足部的疼痛和肿胀以及僵硬;治疗包括消炎药物减轻肿胀和注射可的松

踝关节瘀伤是常见的扭伤。肌腱炎也是踝关节和足部疼痛的基础。肌腱是连接肌肉和骨骼的组织由于过度使用而受到刺激或损伤,导致肌腱炎。通常肌腱在受伤后变得敏感和肿胀。同时,当移动与这些肌腱相关的脚和脚踝的肌肉时,会感到疼痛泡脚可以缓解疼痛。如果鞋子太紧,它可能会限制血液流动,抑制足部骨骼的生长。这会导致脚踝和足部疼痛。宽松的鞋子可能无法为脚踝提供足够的支撑,使其更容易断裂或骨折。高跟鞋也会导致脚踝和足部疼痛,因为它们将脚放在一个不自然的角度关节炎是导致踝关节和足部疼痛的常见原因脚踝疼痛。

冰袋可能有助于减轻足踝疼痛。

脚或脚踝骨折可能需要石膏。

高跟鞋可能会导致脚踝和足部疼痛

在高强度运动(如跑步)中,由于脚部位置不当,脚踝可能会扭曲。

区分脚踝扭伤和脚踝骨折非常重要用于确定脚踝和足部疼痛的原因。