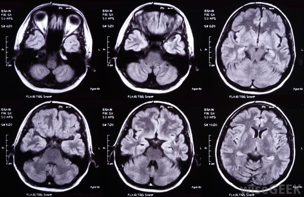
功能磁共振成像机,或功能性磁共振成像机,是一种设备,当一个人在做一个动作时,它可以实时地拍下大脑活动的图像。这些动作可以很简单地拍打一只脚或看一张图片。功能磁共振成像机能够捕捉到血流中非常微小的变化,也可以用来...
功能磁共振成像机,或功能性磁共振成像机,是一种设备,当一个人在做一个动作时,它可以实时地拍下大脑活动的图像。这些动作可以很简单地拍打一只脚或看一张图片。功能磁共振成像机能够捕捉到血流中非常微小的变化,也可以用来记录神经通过脊髓的运动。这项手术相对来说是无创的,不需要辐射。它确实会产生一个强磁场,而且有起搏器、耳朵植入物和血管内某些金属线圈的人无法接受磁共振成像

功能磁共振成像比常规核磁共振成像能更好地检测到血流中的微小变化。受试者需要躺在一张狭窄的床上,并受到轻微的约束以防止运动。这在给患有某种精神病的人和小孩成像时尤其重要。手表、发夹、戒指和任何其他金属物体都会被移除,然后被摄体慢慢地插入一个狭窄的,功能磁共振成像机内的圆形空间。有些人确实有轻微的幽闭恐惧感,但他们通过一个小型的双向对讲机系统与成像技术人员保持着联系。这个过程可能需要15分钟到1小时

功能磁共振成像仪在个人进行活动或锻炼时实时捕捉大脑图像一旦进入功能磁共振成像机器,受试者可能会被要求听特定的声音,执行任务和认知活动,例如回忆过去的事件或执行需要某种推理的精神任务。然后机器就能绘制出大脑对这些任务的反应图。与脑电图(EEG)不同,这是一种研究和测量大脑内电流的技术,功能磁共振成像机能够记录大脑各个区域的活动。图像具有高分辨率,精度可达1毫米。扫描结果被广泛用作认知科学界的绘图和大脑分析工具磁共振成像(MRI)扫描的是身体结构的图像,而功能磁共振成像(fMRI)扫描通常是对代谢活动和功能的成像。代谢功能是指维持生物体生存所需的所有过程,例如,将食物转化为能量。功能磁共振成像机产生的图像能够真实地观察人体结构内部的代谢活动。这些设备并非毫无争议,因为它们有时会产生假阳性。当扫描结果产生"阳性"结果而事实上恰恰相反时,就会出现这种情况是真的。