肩关节劳损是一种肩部损伤,肩部肌肉发炎会导致反复疼痛。这种劳损可能是由于体力活动时过度用力、事故中受伤或发展某种持续的健康问题引起的。在许多情况下,肩关节劳损可以用休息和药物的结合有助于减轻痛苦,并使肩膀愈...
肩关节劳损是一种肩部损伤,肩部肌肉发炎会导致反复疼痛。这种劳损可能是由于体力活动时过度用力、事故中受伤或发展某种持续的健康问题引起的。在许多情况下,肩关节劳损可以用休息和药物的结合有助于减轻痛苦,并使肩膀愈合。

肩部劳损可能会导致很大的疼痛肩关节拉伤最常见的原因是肩部周围不同形式的组织受损。肌腱和软骨承受的压力会导致大量炎症,进而导致肿胀,从而对肩关节施加压力关节本身。当这种情况发生时,移动肩膀会导致很大的疼痛,可能难以忍受。

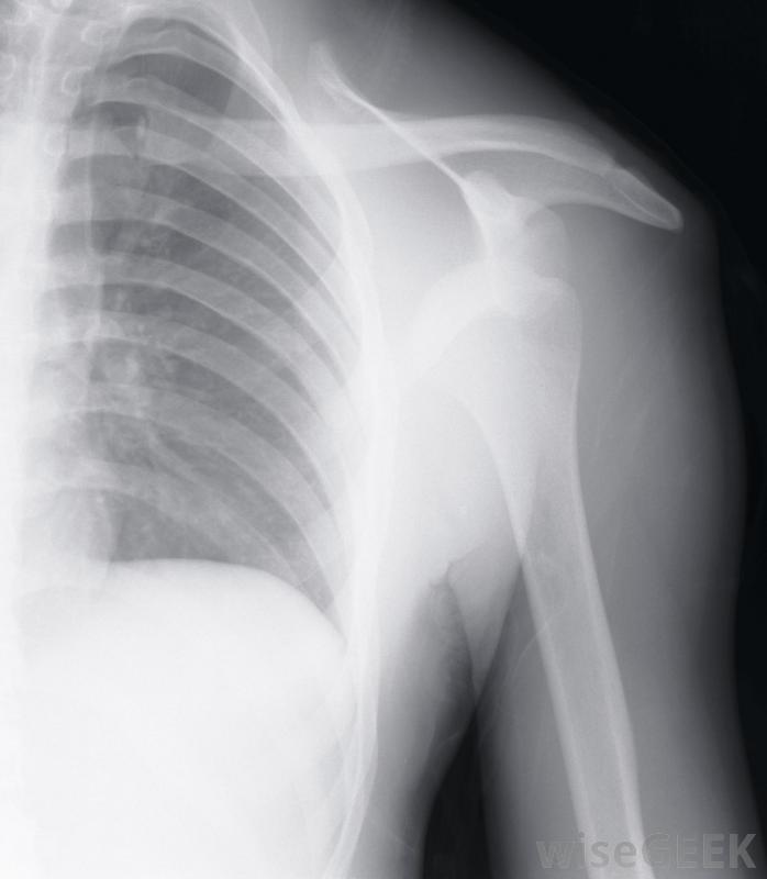
肩关节劳损的根本原因可以从X光片中发现关节炎和缺血性坏死等退行性疾病也可能是肩部劳损和疼痛的根源,关节炎会磨损软骨,甚至会影响肩关节骨的强度。炎症开始,使肩膀很难正常移动通常情况下,需要药物来控制炎症,并帮助患者获得至少一些缓解疼痛的效果。

一个包括肩部许多肌肉的解剖图随着缺血性坏死,肩部骨骼的血液供应中断,这导致骨骼慢慢地饥饿和萎缩。随着骨骼的死亡,如果没有剧烈的疼痛,肩关节的正确旋转是不可能的。通常,手术是唯一的解决办法,虽然在疾病的早期阶段使用药物是有帮助的,但是诊断肩关节劳损的潜在原因至少需要进行一次身体检查。通常,主治医生也会要求检查X光或磁共振成像,也被称为核磁共振成像。这有助于确定疼痛的原因是由于过度劳累,还是有一个正在发展中的健康问题必须解决,以减轻由劳累引起的不适肩关节劳损的治疗过程中可能有几个因素。使用消炎药是相当普遍的。根据劳损的原因,在一天中对肩部进行热敷和冷敷可能有助于消肿和减轻一些疼痛物理治疗也可能是必要的,以帮助恢复一定的运动范围和帮助促进受损组织的愈合。在大多数情况下,手术通常被认为是最后的手段,出现缺血性坏死是一个明显的例外

体力活动期间过度用力会导致肩部劳损。